Portia's 2020 Litter

Pregnancy

25, 27, 28 May 2020
Portia ("Shaksper Portia Catonis AX AXJ CGCA") was bred by side-by-side AI (artificial insemination) to Robert ("GCHB Camio's Charred Oak") owned by Cathy Rogers. Another picture of Robert. Here is Robert checking out Portia right before they were bred.

22 Jun
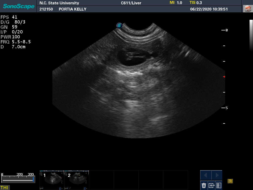
Ultrasound today by the theriogenology (reproduction) vets at NC State University showed the Portia is pregnant with most likely one puppy. It can be difficult to accurately count puppies using ultrasound - so there could be more than one puppy - but there is at least one puppy with a good heart beat.

The bad news is that the ultrasound also revealed an absorption site. Dogs absorb, rather than have miscarriages. So my repro vets are treating this as a "problem" pregnancy. Portia has been put on the drug terbutaline to "calm her uterus". We will be coming back to NC State for repeated ultasounds on a regular basis during the pregnancy.

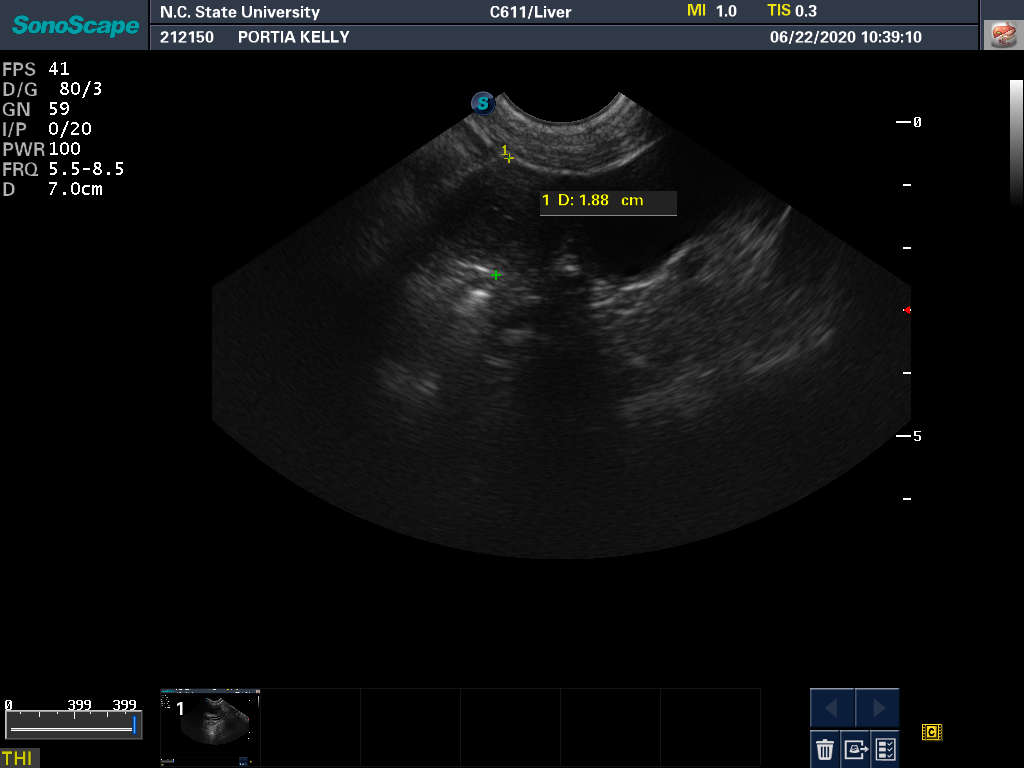
2 Jul
Portia was again seen at NC State. This time my repro vets shaved part of Portia's belly in order that their ultrasound probe would have good contact with Portia's skin. They still only see one puppy but fortunately the puppy still looks healthy.

23 Jul
Portia had another ultrasound at NC State today. Everything is still looking good with the puppy. Portia does not look pregnant, both because she is only carrying one puppy and because she has a lot of fur right now. But her mid-section is very firm.

24 Jul
Another trip to NC State for Portia for another blood draw and ultrasound. What the vets are watching is Portia's progesterone level. Progesterone slowly drops during pregnancy, but they do not want it to drop too low until the puppy is ready to be born. Via the ultrasound they are looking at the intestines of the puppy, looking for signs of gut activity. This will indicate that the puppy has sufficiently "cooked" and is ready to be born.

25 Jul
Another blood draw and ultrasound for Portia at NC State. Portia is starting to express milk from her rear teats. We were told that we do not have to come back until Monday, unless there is an emergency. I spent the afternoon getting Portia's "whelping" (really "nursing") box ready.

27 Jul
Another visit to NC State, but again we are told to wait. The vets did say to not feed Portia breakfast tomorrow, so almost certainly tomorrow Portia will have her c-section.

Here is Portia checking out her whelping box next to my bed.

28 Jul morning
A pensive Portia in the morning.

Week 1

28 Jul
After checking Portia's progesterone level, my repro vets said that today is the day. Portia was taken off to have a c-section around noon. About an hour later, I got a phone call that Portia had a girl, and that mother and puppy were doing well.

Here is my first view of the puppy when they brought her out to me. At birth the puppy weighed 160 grams. I noticed that Portia seemed less groggy from the anesthesia this time, than from the anesthesia she received during her last litter and c-section.

When we got home and before I could bring the puppy inside, Portia immediately went to the whelping box, jumped in, and looked at me. It was as if she was saying "I know what to do." I then got the puppy settled in with Portia.

In the evening, when I weighed the puppy she had lost 5 grams. This is normal. Puppies often lose weight in the first 24 hours or so.

29 Jul
Overnight the puppy gained back the 5 grams that she had lost, and by the end of the day, the puppy weighed 170 grams. Now as long as the puppy's weight continues to go up, things are good. The fact that the puppy regained her birth weight also means that Portia is producing milk.

Most of the time when I check on Portia and her puppy during the day, I find the puppy tucked up underneath Portia. During the first two to three weeks of life, puppies can not regulate their body temperature (which should be around 100 degree Fahrenheit). So puppies rely on staying close to their mother. I am also keeping my bedroom warm. But not too warm, as then Portia is uncomfortable.

Portia did leave the whelping box for a brief period in the afternoon. I was able to get this photo which shows the size of the puppy. And with mommy gone, I switched on the heat lamp that I have over the whelping box. I put a handy dog toy in the whelping box so that the puppy would have something to snuggle against. Normally puppies snuggle against their siblings when their mother leaves. Portia evidently just needed a break, and soon returned to her puppy.

30 Jul
Puppies can not pee or poop on their own. Their mother licks a puppy's belly to stimulate the puppy to pee and poop. The mother then licks up the pee and eats the poop in order to keep the den (whelping box) clean. Here is Portia cleaning her puppy:

Portia will flip the puppy over with her nose, and even hold the puppy down with one paw while she cleans the puppy.

1 Aug
I had to make an overnight trip this weekend on non-dog business, so my dogs including Portia and her puppy went to my petsitter's house. (I am very fortunate to have a good petsitter!)

Some pictures taken by my petsitter:

2 Aug
Puppy with a large stuffed dog (Picture by my petsitter)

After I returned from my trip, picked up my dogs and got home, Portia let me know that my bedroom was too warm by digging up the mat in the whelping box. Here is a picture of the puppy nursing.

In my last litter, I had a puppy who gained weight very slowly (which was worrisome). I agonized trying to get that puppy to gain weight. So it seems amazing when I weigh this puppy and see nice large and steady weight gains. Grow little puppy, grow!

3 Aug
Portia and her puppy

Puppies are born blind and deaf. The only senses they have at birth are feel (warm and cold, pain, etc) and scent. Their sense of smell is remarkable. When Portia gets into the whelping box, the puppy starts crawling towards her. If the puppy is not exactly sure where Portia is, the puppy crawls in cirles until she finds mommy. Of course if I am watching, I just pick the puppy up and place her next to Portia's teats.

I really can not do much more for the puppy ... other than worry. Newborns lungs continue to develop after birth. There is a problem (most likely genetic) called "puppy lung development disease" - the lungs stop developing as they should and the puppy dies. In the past I have had two puppies die from puppy lung development disease; one was stillborn, the other lived for four days or so (with the disease showing up around day two). Both bodies were shipped to the researcher who is investigating puppy lung development disease. Given that this puppy is almost a week old, I hope that this puppy is past the critical period when puppy lung development disease might occur.

Week 2

4 Aug
The puppy is one week old today and weighs 305 grams.

Puppy nursing. Notice the puppy's paw against Portia's belly. The puppy will push against Portia's belly in order to encourage milk to be let down into the teat. The push will cause the puppy's head to move backwards. So you get this rythmic head bob when the puppy is nursing.

Except when nursing, the puppy is sleeping. What I look for when I see a puppy sleeping is the "puppy twitch". If you stare at the puppy, you will see muscles "twitch"; sometimes just a few muscles, sometimes the entire body. This is normal and is thought to be caused by the nerves growing.

In the evening, the puppy weighed 320 grams ... double her birth weight.

5 Aug
Most of the time the puppy will sleep on her stomach, sometimes on her side. Yesterday evening for the first time I found the puppy sleeping on her back.

6 Aug
Portia and puppy

"Dreaming of being Underdog" ... or perhaps "I can't believe I ate the whole thing."

Puppy sleeping.

7 Aug
Puppy sleeping on her side. I like to see this. One problem with singleton puppies is that they have no competition for milk. Consequently as very young puppies they can have fat bellies which causes them to sleep on their stomaches a lot. This can cause their chest bones to flatten just from the effects of gravity and the fact that puppy bones are very soft. This can lead to "swimmer" puppies who never learn to stand and walk. But I have a few more weeks before I have to worry about this.

Puppy sleeping underneath a "pig rail". It is called a pig rail, because pigs will sit on their young and crush them. So farmers put in these rails so that the young can survive. Norwich mothers seem to know exactly where their young are, so pig rails really are not necessary.

8 Aug
Portia and her puppy

Puppy sleeping on her side

9 Aug
Puppy sleeping. I keep checking for the puppy to open her eyes, which should happen any day now. But not yet.

Puppy sleeping on her back. Notice that fat belly.

10 Aug
Portia hanging out with Polly. Portia is spending more time away from the puppy now.

This morning the puppy partially opened both her eyes when I picked her up to weigh her. At her evening weighing she opened both her eyes wide. Sometimes puppies only open one eye as the other eyelid is stuck. If so, then we have to go to the vet. So this is one more worry I no longer have. Of course, the puppy closed her eyes and went back to sleep when I put her down. So no picture yet of the puppy with her eyes open.

I also noticed today that when I pick up the puppy she seems warm. So she is starting to generate her own body heat. This is good as it means she can mount a temperature response to a virus. A particular herpesvirus has been known to wipe out all the puppies in a litter. So while I am probably not totally out of the woods with regards to herpesvirus, I can somewhat relax. (Yes, my main job right now with regards to the puppy is to worry! Portia is doing all the real work.)

This evening the puppy passed the 500 gram mark (approximaately one pound) and now weighs 510 grams. So the puppy has now tripled her birth weight. I am also weighting Portia daily to make sure she is getting enough food. As the puppy grows and demands more milk, Portia will need more food.

Week 3

11 Aug
Today the puppy is two weeks old, and this morning weighed 515 grams. (She did not have a big gain overnight, but made up for it during the day and in the evening weighed 530 grams.)

Puppy nursing. I also saw for the first time Portia sitting and the puppy on her back nursing, but I could not get my camera quick enough to get a picture. And the puppy still refuses to give me a photo with her eyes open.

I do not name puppies until they are three weeks old, as I do not want to get too emotionally attached in case something goes wrong. But when puppies are two weeks old I start thinking about names. My puppies get names usually from the most recent Shakespeare play that I have seen. Because of the pandemic the theaters are closed ... which is very Shakespearean, as in Shakespeare's day the the playhouses were always being closed because of the plague. However I recently rewatched the movie "Shakespeare in Love". So this will be my "Shakespeare in Love" litter. Suggestions for names are welcome - both registered name and call name. Character names, actors names, or even something about the film are all possibilities.

12 Aug
Puppy and mommy sleeping together. Now that the puppy is opening her eyes, I am putting toys in the whelping box to give her something to see. So far I have not seen her interact with any of the toys.

First picture of the puppy with her eyes open. Portia keeps roughing up the mat in the whelping box. I have stopped trying to keep it straight all the time, figuring that Portia knows what she is doing as a mommy. So the puppy had her head resting on a ridge. I noticed that the puppy's eyes were open so I grabbed my camera.

Just before I turned out the lights for the night, I noticed that puppy was active. She was raising her head and pushing herself up with her front legs. It was if she was looking around and exploring her world. It only lasted a minute, then she went back to sleep.

13 Aug
Puppy nursing.

Puppy sleeping underneath a pig rail. I find the puppy underneath the pig rails more and more often now. Puppies like to have something over them when they sleep. I suppose it is instinctual for protection. I wish the puppy would not get on the slick surface of the whelping box. Every time I find her on the slick surface I move her to on top of the mat.

Mommy licking the puppy's bum to keep the puppy's rear clean.

14 Aug
Puppy nursing.

Several pictures of the puppy raising her head:

15 Aug
Puppy sleeping. Other than eating and sleeping, that is really all that the puppy is doing. She sometimes will be awake for thirty seconds or so, looking around and exploring. But then she goes back to sleep. She is starting to have "puppy breath" - a yeasty smell that is one of the best in the world.

16 Aug
Because another of my girls is about to have puppies, all my other dogs - including Polly and her puppy - were taken to my petsitter.

Week 4

18 Aug
The puppy is three weeks old today. Unfortunately I can not give a picture and weight, as Portia and her puppy are at my petsitter. I have heard that all is well.

This is name day. At three weeks of age, I like to name my puppies and register them with the AKC. This puppy's registered name will be "Shaksper Gwyneth De Lesseps", a homage to the actress Gwyneth Paltrow and the character "Viola de Lesseps" that she played in the movie "Shakespeare in Love". The puppy's call name will be "Gwynie". This is how I will refer to her from now on.

19 Aug
My petsitter sent me this photo with the caption "Somebody's beginning to come alive!".

20 Aug
My other dogs - including Portia and Gwynie - have been staying with my pettsitter while I have been getting a new mom settled at home. Tomorrow I plan to go pick everyone up and bring them home.

Normally Portia and Gwynie would return to the whelping box next to my bed. Normally I would wait until Gwynie starts to climb out of the whelping box, then move her to a playpen in my living room for the day and begin crate training in my bedroom at nights. However because the whelping box in my bedroom is occupied, Portia and Gwynie will have to use the playpen in my living room as a whelping box. Today I set the playpen up.

21 Aug
Portia and Gwynie came home today. Gwynie has really grown! When Gwynie left she weighed 675 grams. Now she weighs 815 grams, a 20 percent increase. Gwynie can sit up. And Gwynie is trying to walk - she just has not figured out how exactly to use her rear legs. Gwynie's real legs keep sliding out from underneath her when she tries to use them. But Gwynie can slowly gets around; although it is a process of two steps forward, one step back.

Portia allows the other mother in my house to get near Gwynie. But Portia places herself between Gwynie and Ophelia (my ten-month old). Ophelia is really interested in Gwynie.

I had planned for Portia and Gwynie to sleep at night in the playpen in my living room. That lasted about five minutes. Portia let me know in no uncertain terms that she was going to sleep in my bed as she always does. And I could not leave Gwynie alone out in my living room. So I set up a small pen for Gwynie in my bedroom as an ersatz whelping box. This actually worked out better, as I could easily check on Gwynie during the night.

22 Aug
Gwynie sleeping in a corner of the playpen. She is so big! I am tempted to call her "Gwynie the whale".

Portia was outside, so my ten-month old, Ophelia, took the opportunity, sneaked into the playpen, and very gently started playing with Gwynie. And later, Portia guarding Gwynie.

In the evening, Portia and Gwynie in the ersatz whelping box in my bedroom. The wooden log is the same one that I use for the playpen, and now gets carried between the two when I move Gwynie. It is there to stop Gwynie from getting out, but allow Portia to come and go as she wishes.

23 Aug
Gwynie and Portia peaking out from the crate in the playpen.

Having defeated the orange octupus with yellow tentacles, Gwynie eyes with suspicion the invading camera.

Gwynie contemplating "going over the wall" while Ophelia the "screw" (prison guard) watches. (Gwynie actually did make it over the wall in the evening from her ersatz whelping box. But after getting out, she got scared and cried. After I put her back inside, she went to sleep and did not make another attempt all night.)

24 Aug
Portia and Gwynie in the crate in the playpen. Gwynie now regularly goes into the crate to nap, spending most of her day inside the crate - mostly napping but sometimes nursing if mommy is inside.

Week 5

25 Aug
Gwynie is four weeks old today and weighs 815 grams. Cousin Ophelia gave Gwynie a happy birthday lick. In response Gwnynie tried to bite Ophelia's leg. (Fortunately Gwynie does not have teeth yet.)

26 Aug
Gwynie nursing. Notice how big Gwynie is! Portia is no longer able to lick up all of Gwynie's pee, so I now have to wash the bath mats in the playpen and ersatz whelping box. Portia is still eating all of Gwynie's poop.

I watched Gwynie "mouth wrestle" (similar to "thumb wrestling" but done with the mouth) with both her cousin Ophelia and later her mother.

Gwynie plotting escape in the evening from her ersatz whelping box. Gwynie made it out twice - I did not see how she got out - but stayed in after I returned her the third time.

27 Aug
Gwynie sleeping in the morning after I moved her to the playpen. We were up early as my older dogs had an early morning agility lesson.

Gwynie is much more interested in investigating and interacting with toys now.

And like all babies, everything goes in the mouth to be tasted. Cousin Ophelia looks on.

28 Aug
Since the mountain would not come to Muhammad, then Muhammad would go to the mountain. Gwynie wanted breakfast - and since her mobile milk bar did not come when she called - Gwynie climbed out of her ersatz whelping box and got breakfast herself.

I always seem to try too early to start puppies eating on their own. Gwynie is no exception. Gwynie was only slightly interested in the mixture of baby rice and Esbilac - a brand of puppy milk replacement - that I prepared. Gwynie would lick a little off my finger, but that was it. Portia was quite happy to eat the mixture, and Gwynie used the time to nurse.

In the evening I finally saw Gwynie climb over the wooden bar that I use to keep her inside her playpen and ersatz whelping box. I finally had to close Gwynie inside the exercise pen in order to keep her in for the night. Of course, that meant that in the middle of the night, I had to get up and let Portia inside to feed Gwynie.

29 Aug
This morning I left Gwynie in her playpen while I took a shower. When I was finished, I found that Gwynie had climbed out, found her mother, nursed, and then gone to sleep next to Portia.

My role has changed from being a butler to working in "housekeeping" - daily washing of all the mats in the playpen, whelping box, and ersatz whelping box.

Later in the morning, I found Gwynie nursing in her playpen. Normally nursing moms are very sensitive about other dogs being near when they nurse. The mom will growl to warn the other dogs to go away, and sometime stop nursing and charge a dog who gets too close.. So I was surprised at how close Portia was allowing cousin Ophelia.

Gwynie had her first excursion outside today. Gwynie thought it was a wonderful place with lots of new sights and smells. After about five minutes I took Gwynie back inside and she took a long nap. Exploring is tiring!

Aas an experiment, in the evening I put Gwynie in my whelping box with the puppies who are about three weeks younger than Gwynie. I was curious if Gwynie would settle down and possibly stay in the whelping box for the night. Gwynie was having nothing to do with the idea. After only a sniff of the puppies, Gwynie frantically searched for a way out of this new prison. I took Gwynie out and put Gwynie back in her ersatz whelping box. Again I had to close the pen to keep Gwynie in, and later that night let Portia in to nurse Gwynie.

30 Aug
Gwynie has been leaving her playpen and exploring my living room. Gwynie was happy when she found my crate of toys. (Notice how Gwynie's legs have gone out from underneath her.) But the real reason for leaving the playpen is to find mommy.

Where's Gwynie?

31 Aug
This morning I was adding a teaspoon of canned Green Beef Tripe to my dog's kibble, as I often do. It occurred to me to offer some to Gwynie. Gwynie thought this was great. And even said "Please sir, can I have some more?". (Actually, I think Gwynie was just playing with the empty bowl, which she found that she could lift with her mouth.) Of course, I should know better, as beef is pretty rich, and later in the day Gwynie had diarrhea (which Portia made me clean up).

Gwynie checking out the other mommy (Polly) in my house, while Portia looks on. I think Gwynie was wondering if she could get a drink from this other milk bar, but Polly moved away. Both Portia and Polly are very tolerant of each being around the other's puppies. And each is very concerned about the other's puppies if they hear a sound.

Gwynie found one of my dog beds and thought it was a great place for a nap.

Week 6

1 Sep
Gywnie is five weeks old today and weighs 940 grams.

"Gwynie the Explorer" off on another adventure. Gwynie has impressed me with how quickly she has explored most of my house.

Gwynie tasting my toes. Fortunately Gwynie does not have teeth yet, but I can feel some just underneath her gums.

I am starting to potty train Gwynie. It is mostly hit and miss right now - more miss than hit. But I am trying to notice when Gwynie wakes up from a nap so that I can take her outside.

I always think I will have lots of spare time when I have puppies. I seem to forget about all the laundry, and about all the time supervising when puppies are outside. I never have had a problem with hawks or owls going after my dogs. My adult dogs bark and chase whenever a hawk circles overhead. I do not think a hawk could pick up an adult Norwich, but something instinctively tells my dogs that large birds are dangerous. Young puppies are just the right size for a hawk or owl to pick up. So I never let young puppies outside without my supervising.

2 Sep
Gwynie nursing.

When sleeping, Gwynie is such an angel. However when awake, Gwynie can now move about as fast as I can walk. When Gwynie is loose, I have to be very careful when walking or turning so that I do not accidently step on her. Breeders call it "doing the puppy shuffle" - trying not to take high steps, but rather shuffle along to avoid stepping on a puppy.

Gwynie of course, believes that anyplace is a good place for some of mommy's milk.

3 Sep
"When can you guys come out and play?" - Gwynie checking out Polly's puppies in the whelping box. Polly's puppies are about three weeks younger than Gwynie.

Gwynie had a good appetite for lunch (baby rice and Esbilac). Of course, mommy's milk is still the best, and mostly what Gwynie is eating. But now I will start offering Gwynie food four times a day.

What all the stylish girls are wearing this season.

4 Sep
Gwynie broke the 1000 gram mark today, and now officially weighs a kilogram. Gwynie wants to walk off the scale, making getting a weight difficult. I use the old trick of lifting the puppy and dragging the puppy backwards, letting the puppys' legs drag along the surface. The puppy is more likely to stay for a few seconds after a few times of having its legs dragged along the surface.

Gwynie found an unusual safe place for a nap. Gwynie's older cousin, ten-month old Ophelia, loves to play with Gwynie but sometimes plays too rough. Mommy Portia will sometimes get between Gwynie and Ophelia; other times Portia joins in - two against one is fun if you are one of the two! - and I have to step in.

Two mothers - Polly and Portia (on right).

5 Sep
Gwynie is immediately awake now when I turn on a light at night. When I get up at night to use the bathroom, I take Gwynie outside to potty. This morning around 5 am, I took Gwynie out and Portia naturally followed. I noticed that Portia was acting strange - staggering, her head was down, and her back legs were trembling. It was all over in few minutes and then Portia was back to normal. I was fairly confident that it was not hypocalcemia (low calcium) - which can happen to nursing mothers - as Portia is only nursing one puppy and she is getting daily cottage cheese for extra calcium. But remembering the first three letters of the word "assume" I took Portia to my vet this morning and had a blood chemistry analysis performed. As I expected, Portia's calcium level was normal. My guess is that Portia had an episode of paroxysmal dyskinesia (PD). There are no diagnostic tests for PD, and this is the current scientific name for the observed symptoms. This is the first time that I have seen Portia have a PD episode. Unfortunately I did not have my phone with me to take a video.

Gwynie really wanted to see the almost three-week old puppies in the whelping box. Finally I put Gwynie in the whelping box, and Gwynie licked the puppies ... but nobody wanted to wake up and play.

Gwynie's teeth are starting to erupt, and I have noticed that Portia will sometimes growl at Gwynie when Gwynie is nursing - as if to say "Be carful, suck but do not bite.". So for lunch I gave Gwynie some ground-up puppy kibble soaked in Esbilac. This was a big hit with Gwynie, and she ate second. After which Gwynie took a long nap. So now for meals, Gwynie is getting ground up puppy kibble.

6 Sep
Gwynie climbed up the doggy ramp to my bed this morning. So now I need to remember to take the ramp down during the day, as I do not want Gwynie on my bed unless I am supervising..

Gwynie found one of the dog beds in my bedroom is a good place for a nap.

Portia teaching Gwynie her place in the world. There is much growling. Cousin Ophelia looks on.

Even though Portia is now nursing Polly's puppies - see the entry for 6 September for Polly's litter - Portia is still allowing Gwynie to nurse. Sine Portia is nursing Polly's puppies, Gywnie thinks it is fair that she be allowed to get some milk from Polly. Polly did not object, and afterwards Gwynie took a nap with Polly.

7 Sep
Besides ground puppy kibble, I offered Gwynie some regular puppy kibble. To my surprise she ate some.

Gwynie got in the whelping box and played with Polly's puppies:

Gwynie met big brother Valor ("Shaksper Rosencrantz") who visited today.

Gwynie playing with mommy and biting mommy's paw.

Week 7

8 Sep
Gwynie is six weeks old today and weighs 1125 grams.

I fogot to put the ramp to my bed down this morning and later found Gwynie exploring my bed.

Gwynie preferred the baby rice for breakfast this morning. But Gwynie still prefers to nurse from whomever she can - Polly or Portia.

I give Gwynie the run of my house when I am able to supervise. I try to notice when Gwynie wakes up from a nap, so that I can hustle her outside to go potty. My house is fairly puppy-proof - tile floor, electrical wires behind barriers, rooms that I do not want puppies in blocked off, etc. However one thing that seems irresistible to puppies is my toilet mat - which I really want to stay near my toilet ... but which puppies always think is great to chew and drag around the house. Today I had to spray my toilet mat with "Bitter Apple" to stop Gwynie from chewing on it. Bitter Apple as the name implies makes things taste bitter to puppies. After tasting where I had sprayed, Gwynie shook her head and went elsewhere.

Gwynie loves my refrigerator. Any time I open the refrigerator door, Gwynie wants to climb into the refrigerator. I suspect it is all the interesting smells from inside that are so attractive.

I am sure both dogs are just smelling the same thing, but doesn't it look like a staring contest?

According to breeder folklore, a six-week old puppy looks like just a miniature version of what it will look like as an adult. And the next time this happens is when the puppy is six months old. Between these times, different body parts supposedly grow at different rates. I tried for the longest time to get a good side shot of Gwynie, but all I was able to get was the following.

I was able to get one good head shot.

9 Sep
For dinner today, my dogs got cooked ground turkey on top of their kibble. Gwynie thought this was great and cleaned her bowl.

10 Sep
Polly's puppies took over the play-pen today, leaving Gwynie only able to look in with fond memories.

I do my best to keep track of everyone in my house - especially puppies (so that I can take them outside to potty). I had a hard time finding Gwynie this morning, as she had really hidden herself between two crates.

Since the puppies have taken over the play-pen, Gwynie now has to take some of her meals in a crate.

Gwynie figured out that the easiest way to get some milk is to sneak into the play-pen and just be another puppy - only larger.

11 Sep
While Portia may be spending time helping to nurse Polly's puppies, Portia still finds time for Gwynie. Portia often plays with Gwynie and still keeps Gwynie clean by licking Gwynie.

I got out my "wobble board" for Gwynie today. It is a human balance board with a ball underneath which lets the board tip in any direction. Gwynie immediately got on the wobble board, and quickly figured out how to get on with all four feet. Gwynie continues to impress me with how quickly she figures things out.

12 Sep
Gwynie and Portia enjoying the view together.

Gwynie nursing. Portia is still allowing Gwnie to nurse, but Portia is making the nursing sessions with Gwynie shorter and shorter. Portia is still nursing Polly's puppies.

Gwynie looks so sweet when she is asleep.

I have not mentioned that Gwynie has conquored my baby dog-walk, my baby teeter, and my baby tunnel.

13 Sep
Some pictures of Portia and Gwynie playing. Gwynie usually starts by biting at one of Portia's legs. Much growling on both sides ensues. Portia will eventually flip Gwynie over and pin her down. Sometimes these play sessions end when either Portia or Gwynie get interested in something else; sometimes Gwynie "wins" and Portia lets Gwynie nurse.

Gwynie today figured out how to use my doggy door - but so far only to come from the outside to the inside. Gwynie has to throw her entire body against the door to get sufficient force to make the door open.

Right now I try to stay with Gwynie when she is outside. Sometimes I have to come inside to attend to something; I figure that as long as there is an older dog with Gwynie that Gwynie is relatively safe (although I check frequently). Often the older dogs will follow me inside, and then I have to turn right around so that Gwynie is supervised. I am not looking forward to the day when Gwynie figures out how to go outside on her own.

Gwynie playing with an empty Coke can. If Gwynie looks skinny, it is because she is. Making the transition from nursing to eating is something that puppies resist for as long as possible. Right now, Gwynie only picks at the food (kibble) that I offer, preferring milk - from either Portia or Polly.

Jennifer, Keith, their niece Rosalind, and their two Norwich came to visit today to see the puppies. Polly's puppies were only awake for a short time, but Gwynie had lots of energy with which to entertain.

So that the older dogs did not disturb the puppies (or their mothers) while the puppies were outside, all the big dogs had to stay outside my fence. From left to right, Boo and Bear live with Jennifer and Keith. (The shaggy dogs who badly needed groomed are mine.) If you are curious how all these dogs are related, use the relationship feature of my Norwich pedigree database. After playing with the puppies, we took the older dogs for a nice walk through the woods around my house.

14 Sep
Pre Gwynie, when I would wake up at night, I could just stumble to the bathroom then return to bed and go back to sleep. Now when I wake up to use the bathroom at night, I take Gwynie outside to go potty. Unfortunately that trip outside wakes me up and I sometimes have a hard time going back to sleep. So I am working on a nice sleep deficit. It does not help that Gwynie believes we should get up in the morning as soon as there is light on the horizon.

All the pictures I have for Gwynie for today involve Gwynie eating.

However Gwynie also had a full day of playing with mommy Portia, cousin Ophelia - requiring me to rescue Gwynie if Ophelia played too rough - and with Polly's puppies - often requiring me to rescue a puppy when Gwynie played too rough.

Week 8

15 Sep
Gwynie is seven weeks old today and weighs 1245 grams.

Today Gwynie had her first big outing. Some of my dogs had an agility lesson, so I brought Gwynie along. Even though Gwynie is very young and has not (yet) had any puppy shots, I knew that Gwynie would only be exposed to a few dogs all of whom had been vaccinated. So I assessed the risk as low.

After a long car ride, I set Gwynie up inside a pen with some food and water. Gwynie got to meet some Shelties and a Border Terrier. Gwynie got to play with some children (and some adults). And Gwynie got to take the Border Terrier for a walk. All in all, I thought Gwynie got a nice dose of socialization.

When we got home Gwynie was hungry. I saw Gwynie nursing from Polly. A few minutes later, Gwynie was nursing from mommy Portia. After which, Gwynie took a long nap.

16 Sep
Gwynie having "puppy dreams".

Gwynie is really resisting making the transition from nursing to eating puppy food. Both Portia and Polly tell Gwynie to go away when Gwynie comes and tries to nurse. So Gwynie sneaks in when another puppy is nursing.

Nursing together - Portia nursing three of Polly's puppies and Polly nursing Portia's puppy. And later nursing together outside.

I never can tell if it is play or teaching when mommy Portia and cousin Ophelia gang up on Gwynie. I always step in when it seems to get too rough. But I wonder if I should. Gwynie has clearly learned now to hide under things when the older ones come after her. And Gwynie has also learned how to fight back using her teeth to try to bite. Both seem like good skills that a young animal in the wild might need to learn early in order to survive.

17 Sep
Gwynie has figured out that my doggy door goes in both directions, so now she can go outside at will as well as come inside. This makes it even more difficult to keep track of her. As long as one of my older dogs is with Gwynie when she is outside, I am less worried. But I do not like Gwynie being outside by herself.

Gwynie has walked by my puppy mirror many times, but this was the first time that I saw Gwynie looking into the mirror.

I often let Gwynie into the puppy playpen to help clean up leftovers. Here is young cousin Hotspur checking Gwynie out by sticking his nose underneath Gwynie. I am not sure if Hotspur is being precocious or just looking for milk.

I took this picture of Portia cleaning Gwynie, but instead got a good picture of Gwynie's teeth. Puppy teeth are very sharp. Any time Gwynie puts her teeth on me, I scream like I am mortally wounded. This is how puppies learn bite inhibition.

I spend a lot of my time now pulling Gwynie off of Polly's puppies who are three weeks younger. Gwynie is just too rough right now to play with the younger puppies. As puppies are easily distracted, I just put Gwynie down somewhere else and she starts playing with something or someone else.

18 Sep
Gwynie cleaning Polly's ears.

Both mommies nursing together again.

Gwynie's ears has started to come up. I call this "The Flying Nun" look. Gwynie's ears will go up and down until they finally are "prick ears" that are the defining Norwich look.

Several days ago I took down Gwynie's ersatz playpen where Gwynie was spening nights. Now Gwynie sleeps in a crate on top of a table in my bedroom and also takes her meals in the crate. Gwynie has not had any accidents in her crate as I continue to take Gwynie outside to potty several times during the night.

19 Sep
Gwynie cleaning Polly's ear.

Mommy Portia and cousin Ophelia "toughening up" Gwynie. There was much growling. Gwynie was on her back. Ophelia wandered away a few minutes later, but Portia continued to teach Gwynie. At times it almost looked like Portia wa using Gwynie as a dust mop on the floor. But after vigorous exercise, both Portia and Gwynie settled down for a nap together.

As an experiment today, I put Gwynie in with Polly's puppies to eat lunch. Gwynie was not eating when I put her alone in a crate. Puppies often eat better when there is competitioin. Also I conjectured that eating together might help Gwynie bond with the puppies. I rated the experiment a success, and plan to feed all the puppies together going forward.

Gwynie is still interested in nursing, but neither mommy Portia nor aunt Polly are that keen on the idea (since Gwynie has sharp baby teeth). Gwynie often will continue to try until Gwynie wears one or the other down with trying. Here is Gwynie nursing from Polly. Notice the one ear almost up.

20 Sep
Gwynie on top of the clean bedding that I have brought in for the puppies.

21 Sep
Gwynie being taught manners by her mother. Afterwards, Gwynie found a safe spot for a nap and to avoid further lessons.

Week 9

22 Sep
Gwynie is eight weeks old today and weighs 1470 grams.

Gwynie came along with my older dogs to agility class today. Gwynie was very interested in what was happening in the ring. Gwynie got to come into the ring to meet the Border Collie. And Gwynie did her first agility obstacle - not quite correctly of course. (The dog is supposed to go over the jump rather than walk over the base of the upright.) And Gwynie got to play with the instructor's little boy.

At the end of the lesson there was some time left, so we played "puppy ping-pong" with Gwynie - three adults stood around and took turns calling Gwynie and giving her a treat (a small bit of turkey meat) when she came. That only took a few minutes, as an eight-week old puppy does not have much of an attention span. So then we decided to see how Gwynie would do on some real agility equipment.

One of the more difficult pieces of agility equipment is the teeter (also called the see-saw) as it is the only piece of AKC agility equipment that is dynamic (i.e., moves). So we set Gwynie up a foot or so from the end of the top of the teeter, lured her to the end with food (being careful that Gwynie could not fall off), then very gently lowered the teeter until the board was on the ground and Gwynie could walk off. Gwynie being so light, the board started to return to its resting position, which flipped Gwynie's hind legs into the air. Gwynie was unfazed by all this and did not show any fear.

I also lured Gwynie properly over an agility jump (with the bar on the ground). I hope all this means that Gwynie will be another agility star!

After a hard day at her first agility lesson, Gwynie was happy to get home and take a nap.

23 Sep
Gwynie on my lap.

Gwynie lying down "side saddle" (both her feet to one side).

24 Sep
Gwynie like all puppies is fascinated with bugs. Something smaller than they are that moves!

I watched today as ten-month old cousin Ophelia ran through my puppy tunnel closely followed by Gwynie. Then Ophelia ran back around to the entrance of the tunnel followed by Gwynie, and they both went through the tunnel again. They did this at least two more times. It obviously was a game of "catch me".

25 Sep
With sunlight just peaking over the horizon, Gwynie let me know that she wanted to go outside to potty. So I took Gwynie out. When I came back to take Polly's puppies outside to potty, I found Polly in the whelping box nursing her puppies. So I decided to lay down for a few moments of sleep before taking Polly's puppies outside. My hope was that Gwynie would climb up on my bed, curl up next to me and take a nap. Ha! I do not have a puppy; I have a pirranha. Gwynie kept trying to bite me through the sheet I had over me. While I was protecting private parts, Gwynie nipped me in the rear end. Then Gwynie turned her attention to my ear, which I had to protect with my hand. Then what little hair I have left got a grazing by Gwynie's teeth. Gwynie has new nickname - "Evil puppy"!

The evil one staring up at me.

28 Sep
Gwynie

Week 10

29 Sep
Gwynie is nine weeks old today and weighs 1660 grams.

Gwynie had her first puppy shot today. Because of the pandemic, I no longer am able to accompany my dogs when they go into the vet's office. I really miss the opportunity to talk with the vets and learn from them.

Gwynie also was checked for worms ... and to my surprise the tech found a parasite egg in Gwynie's stool. Just one I was told, and more commonly found among cattle or horses - which Gwynie has not been around. Now because I live in the country, I worm my dogs quarterly, alternating between fenbendazole and pyrantel pamoate. I wormed Portia before and after Gwynie was born with fenbendazole, and I wormed Gwynie with pyrantel pamoate for two days three weeks after Gwynie was born (and then again for two days ten days later). This has always worked for me in the past. Now because of the parasite egg found in Gwynie's stool, I will worm Gwynie - and everyone else in my house - again with pyrantel pamoate.

30 Sep
Portia nursing Gwynie. On the other side of the room Polly was nursing her puppies. The two mothers were looking at each other.

1 Oct
Any time aunt Polly is nursing her puppies, Gwynie tries to sneak in to get some milk. Here is Polly nursing five puppies - her four puppies and Gwynie.

Gwynie got to come along when I took my older dogs to an agility lesson.

Week 11

6 Oct
Gwynie is ten weeks old today, and weighs 1890 grams.

I think it is time to bring this blog to a close, as I am not taking many pictures of Gwynie. I am sure that Gwynie will continue to appear in the blog about Polly's puppies, as Gwynie is only three weeks older than Polly's puppies.

Gwynie is growing up nicely. I am very happy with Gwynie's structure, temperament, and intelligence. I plan to keep Gwynie for breeding, agility, and whatever else comes our way.