Siri's 2021 Litter

Pregnancy

16, 18, 20 Mar 2021
Siri ("Shaksper Serena Mckellen NA NAJ CGC") was bred by side-by-side AI (artificial insemination) to Robert ("GCHB Camio's Charred Oak") owned by Cathy Rogers. Another picture of Robert.

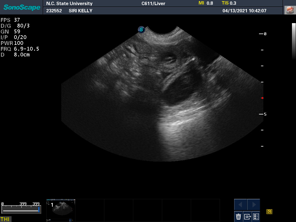
13 Apr
Ultrasound today by the theriogenology (reproduction) veterinarians at NC State University showed that Siri is pregnant with possibly four puppies. (It can be difficult to accurately count puppies using ultrasound.)

If all goes well, puppies are due around 18 May.

13 May
I had planned to take Siri today to NC State for an x-ray to get a more accurate count on the number of puppies. Also an x-ray can be used to estimate the size of the puppies versus the size of Siri's pelvic opening so that I know whether to let Siri try to free-whelp or plan for a c-section. Unfortunately the gasoline shortage caused by the pipeline shutdown has forced me to change my plans. With over 70 percent of gasoline stations in North Carolina reporting that they are out of gasoline (which I suspect is an underestimate), I rescheduled for Monday. I want to save the gasoline in my car in case of an emergency, or for Monday when I plan to move to Raleigh so Siri and I can be near the vet school until Siri has her puppies.

14 May
A pregnant Siri laying down.

16 May
I set up Siri's whelping box - nursery box would be a better term - next to my bed. Siri immediately jumped in to checked it out.

Siri weighs 12.7 pounds today. Her normal weight is just above 10 pounds.

16 May evening
Siri has had a one degree temperature drop, which means puppies probably within the next 24 hours. Siri has also begun to "nest" - furious digging on the dog beds around my house, hiding in her crate, carrying small plushed toys into her crate as if they were puppies that she has to protect, and warning my other dogs to stay away.

17 May
This morning we drove to NC State. X-rays (photo 1 and photo 2) confirmed that Siri has four puppies, and it looks like the puppies skulls are small enough that they will fit through Siri's pelvic canal. So trying for a free whelp is recommended. After taking the rest of my dogs to my petsitter, Siri and I moved into a hotel near the vet school.

Week 1

17 May evening
Around 5 pm, I noticed that Siri was having strong contractions. The first puppy was born not long afterwards. Siri tore open the sack surrounding the puppy, and started licking the puppy. I started rubbing with a wash cloth. The goal was to get the puppy to squeak indicating that it was breathing. Finally it started squeaking. A second puppy was born very quickly afterwards, and was much bigger than the first puppy.

Siri then rested for about 45 minutes, then contractions started again. The other two puppies quickly followed. It was all over by about 7 pm. I want to thank my fellow breeder Lisa who "held my hand" via a phone conversation while the puppies were born.

After the puppies were all out and breathing, the next step was to weigh them. In order of their birth, they weighed as follows: 60 grams, 128 grams, 162 grams, and 123 grams. The size and weight of the first puppy is very worrisome; the other three are a nice size. Other than weighing the puppies, the most critical thing is to get them to nurse. So I did not look closely at the puppies regarding sex or color. I just shoved them back to Siri who instinctively seemed to know what to do.

Two pictures:

The red tint to the pictures is because of the heating lamp.

18 May
I did not get much sleep last night. Every time a puppy was crying - usually the smallest puppy - I was up moving the puppy back to Siri or trying to put the puppy where it could find a nipple. Here are the puppies in the morning. (The stains are left over from yesterday's whelping.)

With the exception of the smallest puppy, who is easy to distinguish because of size, I have put yarn collars of different colors on the puppies. Thus in birth order they are Little One, Pink, White, and Blue.

I weighed everyone and found that White and Blue had gained weight, Pink had lost a little, and the Little One had lost a gram. I was not terribly worried about Pink's weight loss as it is not unusual for a puppy to lose weight in the first twelve hours or so after birth, but of course I did not like to see any weight loss for the Little One.

Before we left the hotel, I tube-fed the Little One. Tube feeding is basically force feeding: you stick a small tube down the throat of the puppy, pinch a toe to make the puppy cry (to insure that the tube is in the stomach and not in the lungs), and inject formula directly into the stomach. While it sounds cruel ... and Siri was concerned about what I was doing ... it is the least risky and most efficient way to get nutrition into a puppy who is not thriving. Bottle feeding has a higher risk of the puppy aspirating formula, which can be deadly.

We then drove home. The puppies were in a loosely covered clear plastic box next to me with a hot water bottle for warmth. Siri was in her crate and initially not happy with the seating arrangements, but settled down after we got going. The puppies quickly fell asleep lulled by the motion of the car.

We got home and I got everyone settled. Here are two pictures of Siri and her puppies in the whelping box next to my bed: photo 1 and photo 2. I then fell into bed for an attempt at a nap - mostly unsuccessful because every time a puppy cried I woke up. I felt like a zombie the entire day.

I did finally check the sex of the puppies. Pink, White, and Blue are all red girls; the Little One is a boy and probably black and tan in color. Since the Little One is the only boy, he now gets the name "Boy". I will get individual photos tomorrow.

I weighed the puppies in the evening and found that Pink had lost more weight, and even worse was acting listless. So both Pink and Boy got tube-fed, and I went to bed now worried about two puppies.

19 May
The puppies: Boy and Pink are only just holding their own. Boy still weighs his birth weight of around 60 grams, Pink has lost weight and is around 100 grams (notice how skinny Pink is compared with White and Blue), while White and Blue are around 200 grams and what a healthy three-day old puppy should look like. The difference is most evident when the puppies are next to each other (from top to bottom: White, Blue, Boy, and Pink). (The red light is from the heating lamp.)

Newborn puppies can not regulate their body temperature. If they get chilled, they can die. Consequently I have the temperature in my house at around 80 degrees Farhenheit - about the highest I and Siri can stand it. The puppies, when not tucked underneath Siri, sleep in a pile to keep warm ... while Siri tries to dig down to "cooler" ground.

I am continuing to tube-feed Boy and Pink, and I continue to be worried about them.

20 May
The Boy died last night. It was very sad. He was fighting to the end.

Here is White resting on mommy Siri and sister Pink.

The sad news continued today. Based upon a suggestion by a fellow breeder, I looked in Pink's mouth ... and discovered to my horror that Pink has a cleft palate - an opening between her airway and her throat. I sent NC State this picture and they confirmed that it is a grade III cleft palate - the worst possible kind. This explained why Pink is not nursing and is not thriving.

Clef palates are thought to have a genetic cause, or - less likely - an environmental cause. I had been supplementing Siri with Folic Acid since before she was bred, which is thought to reduce the incidence of cleft palates (in both dogs and humans). So I was not thinking about a possible cleft palate. I should have checked her mouth at birth.

A cleft palate can be surgically corrected ... but not until Pink is older ... and being a grade III will likely involve multiple surgeries. And until Pink is older she will need a permanant feeding tube implanted. All this comes with the risk that Pink will aspirate some food and die. The humane thing is to euthanize Pink. So I sadly made an appointment with my vet for tomorrow. Until then I will continue to tube-feed Pink and try to make her comfortable.

Being a breeder has its joys ... but it also has its heart-breaking moments ... like today.

21 May
A hard day today. I tube-fed Pink for the last time. As I would be out of the house for several hours, I made sure that Siri had food and water, and that the White and Blue were settled. I then temporarily put Siri in her crate so that she did not see me take Pink out of the whelping box and to my car.

My first stop was to take Pink to my local vet for euthanasia. I asked that blood and a tissue sample be saved. I will send these off to a university research lab for possible DNA analysis. Hopefully something can be learned from the DNA that will let us better understand the genetics of cleft palate.

My next stop was to NC State to drop off the body of the Boy for an autopsy. Technically as autopsy is performed on people, and an necropsy is performed on animals - but the idea is the same ... to dissect the body to determine the cause of death. After the Boy died, I kept the body in my refrigerator and then in a cooler during the drive. More than likely no cause of death will be able to be determined ... puppies are so small; but if there is something obvious then I want to know.

My final objective was to pick up my other dogs (Mandy, Ophelia, and Gwynie) from my petsitter. It was time for them to return home ... and I really needed their companionship. All in all, I was gone from home for six hours what with all the driving and the stops. I was concerned about the puppies, but not terribly worried. When I got home, I found the puppies sleeping and everything fine.

I was curious how long it would take for someone - most likely Gwynie who is the youngest - to get into the whelping box to check out the puppies. Usually it only takes a couple of hours. But Siri just growled at anyone who tried to get close to the whelping box and the puppies, and so far no one but me is allowed near the puppies.

22 May
As is my custom I took my dogs for an early morning walk while it was still cool. I was surprised that Siri wanted to come with us rather than stay with the puppies. Siri did not do the entire walk, but took shortcuts so that she could go back to the house to check on the puppies. The puppies were fine. (The red tinge is from the heat lamp.)

I have to change and wash the plush bedding in the whelping box every day. Not because the puppies are making a mess; Siri cleans up after the puppies. Rather Siri has a discharge from her uterus that is a consequence of the birthing process. Even though it is red-tinged, I am told that as long as it is not black or smelly that it is normal.

It gets warm in the afternoon, so Siri digs up the whelping box. The puppies have a hard time crawling on the slick floor ... and complain about it ... so I am in a constant battle with Siri to spread out the plush bedding. Being warm in the afternoon gives a perfect excuse for everyone - including me - to take a siesta. Especially after Blue has woken me up at 3 am in the morning for the past two nights because she needed to burp. Fortunately Infant Gas Relief (Simethicone) settles her down.

Puppies nursing.

White has a patch of white hair on her chest. Blue does not have any white on her chest.

23 May
Blue crawling. It is amazing how fast the puppies can move just by crawling. They slide their belly along the ground, propelling themselves by their front and rear feet. Notice that Blue's head is off the ground.

Blue sleeping. It was very warm today and I did not need to use the heat lamp. I always know that if the puppies are sleeping together in a pile then they are too cold. But if the puppies are sleeping separately, then the temperature is ok. If it was too warm then the puppies would be screaming.

Siri checking on the puppies. Siri is spending more time outside of the whelping box, but she is usually resting nearby ready to protect her puppies. I also check on the puppies multiple times during the day. What I want to see is the puppies "twitching". If you stare at a puppy, you can see the puppy jerk. This twitching indicates that all is normal, and is thought to be caused by nerves growing.

Puppies are born blind and deaf, and are only able to smell and sense warmth. Puppies do not open their eyes until ten days to two weeks, and it takes them several days until they can focus. Hearing comes later. I do not think that White was deliberately smelling Blue's butt, this is just a position that I found the puppies in.

Mommy's leg makes a nice pillow.

Week 2

24 May
The puppies are one-week old today and weigh as follows: White, 275 grams, and Blue, 284 grams. Both puppies continue to have steady weight gains each day. Sometimes White is ahead in the "weight race"; other times Blue takes the lead. White seems a calm quiet puppy. Blue is more of a "colicy" puppy; I have had to give Blue infant gas relief (simethicone) over the past couple of days.

Now that the puppies are one-week old, I start to worry less about them getting "puppy lung development disease". The organs of puppies (and babies in general) are not fully formed and continue developing after birth. Norwich breeders have observed something that we call "puppy lung development disease" - a few days after birth, a puppy will start having difficulty breathing which gets worse with time, and nothing that we have tried stops the puppy from dying. Under a microscope, the lungs of a puppy with puppy lung development disease looks different than a normal puppy's lungs. It is thought that there is a genetic component to puppy lung development disease, and there is a research study underway to find a genetic marker. I have had two puppies die from puppy lung development disease; both bodies were contributed to the study.

Here are the two girls sleeping under the "pig rail" in the whelping box. A "pig rail" is put around the edge of a pig's pen, so that a sow does not squish any of her piglets. In my experience Norwich mothers are very careful about not stepping or squishing their puppies. Right now the puppies fit comfortably underneath the pig rail. That will change!

While it may look like the puppies are following each other, the reality is that they just fell asleep in this position.

Blue sleeping on top of White.

25 May
What I like to see ... the puppies sleeping on their sides. Most of the time puppies sleep on their bellies. Because puppy bones are growing and so mallable, too much sleeping on their belly can cause a puppy's rib cage to flatten. This can make it difficult for them to learn to walk. (One ends up with what are called "swimmer puppies" who only crawl.) By sleeping sometimes on their side, a puppy's rib cage takes on a more normal rounded aspect.

Blue and White. While I was positioning my camera to take the picture of White's face, Blue crawled up the side of White. (Maybe Blue wanted to be in the picture?) A view from overhead.

When I have been finding the puppies in a pile, I have noticed that it always seems like Blue is on top. Does this say something about her personality?

26 May
Since Siri is taking care of feeding and cleaning the puppies, my job right now with regards to the puppies is mostly to worry. I always find these first three weeks of puppy life to be stressful. Are the puppies thriving? Is there any abnormality indicating a possible problem? As I said, I worry. But so far White and Blue both seem well and growing normally.

I am not without extra duties ... but to Siri. Because Siri is nursing, she needs extra calories. Siri is on puppy kibble, because puppy kibble is more nutritionally dense than regular kibble. But I also have to feed Siri extra. Normally my dogs get one scoop (30 ml) of kibble for breakfast, and two scoops for dinner. With treats and the occasional topping on their kibble, this keeps them in a good weight. Siri right now is getting one scoop for breakfast, one scoop for lunch, two scoops for dinner, and one scoop before bedtime. This amount will only increase as the puppies get larger and need more milk. Siri's weight after having the puppies is back to between 10 and 11 pounds, which is a good weight for her. I weigh Siri every day to let me know when to increase the amount that Siri is being fed.

I also have to give Siri about a quarter cup of cottage cheese twice a day. Siri needs calcium to make milk for the puppies. Without supplemental calcium, Siri could get in a life-threatening state from a lack of calcium (hypocalcemia).

Today I was noticing when White was sleeping on top of Blue. So it does happen, and probably who is on top of the other is just random chance. A moment later, While had slid off of Blue.

Puppies nursing.

27 May
I weigh the puppies twice a day, in the morning and in the evening. As long as everyone is gaining - and so far they are - things are good. I also noticed that the puppies are starting to have "puppy breath" - their breath has a yeasty smell that everyone loves.

Blue sleeping on White who is on her back.

Blue sleeping alone. Blue's face.

Puppies can not pee or poop without stimulation. So Siri licks the rear end of the puppies to get them to urinate and defecate, which she then drinks and eats in order to keep the whelping box clean. Another view. And yet another view. I tried to get a photo showing Siri's tongue, but was unsuccessful.

28 May
Siri's weight has been slowly dropping over the past several days. So today I added another scoop of kibble to Siri's daily diet. Siri is now being fed about twice her normal amount of food. Making milk requires a lot of energy!

I also feed the puppies a little whole milk yogurt in the morning. I feed the yogurt via a small syringe and very slowly put the yogurt on their tongue. The puppies indicate when they have had enough when they spit the yogurt out rather than swallow it. I had hoped that the yogurt would help Blue get over her colic. Blue seemed to be getting better, but today was worse. It is interesting how Siri seems to know the difference between a puppy crying because it wants something (which causes Siri to come running), versus when Blue is crying because of colic (which Siri ignores).

I still use the heat lamp on the puppies, especially in the morning. In the morning I have to open the windows briefly to get some fresh air in the house, which drops the temperature by a degree or so from the 80 degrees that I have been keeping the temperature. I know to turn the heat lamp off when the puppies crawl away from the heat.

Here is White demonstrating the "laying on the back" method of nursing. You can see that it is White by the white patch on her chest. Over the past couple of days, White has slowly pulled ahead of Blue in the weight race, but their weights are still close.

Siri stays near the puppies even if she is not in the whelping box.

White seems to have a larger skull than Blue. And Blue seems to have a shorter muzzle than White. I am not sure what these two observations mean.

Puppies nursing while Mommy cleans Blue's rear end.

Blue sleeping on her back in what does not seem like a very comfortable position.

29 May
White sleeping. And in her favorite position.

Siri nursing puppies. Sometimes Siri sits and the puppies crawl underneath and nurse. Other times Siri will lay on her side and the puppies will nurse side-by-side. Siri clearly has the puppies on a feeding schedule (known only to her) and now only goes into the whelping box to feed and clean the puppies. It is also evident that Siri rules in my household, as none of my other dogs have dared to get in the whelping box with the puppies.

The puppies like to sleep together and always seem to find interesting sleeping configurations.

White's weight was slightly down at the evening weigh-in. Something to watch.

30 May
White's weight was back up this morning, so that is good. White's temporary drop has allowed Blue to catch back up in the weight race.

I noticed in the morning that Blue's left eye was partially open. By the evening, Blue's left eye was completely open. Her right eye has not opened yet, but this is not abnormal. In the evening, I noticed that White's left eye has started to open.

The puppies just eat and sleep, so there is not much excitement in the whelping box. The biggest excitement comes when Siri gets in the whelping box. The puppies must smell mommy because they become animated and crawl towards Siri to nurse. Puppies nursing with Siri on her side. Siri's belly is warm to the touch because of milk production.

Week 3

31 May
The puppies are two weeks old today and weigh as follows: White, 454 grams, and Blue, 466 grams. Both White and Blue have opened both their eyes.

Today the puppies had their first worming (0.1 ml pyrantel pamoate). They also had their first nail trim, as their nails were starting to get long. I used a human nail clipper and just took off the tips of the nails.

Puppies sleeping face-to-face.

1 Jun
This morning when I picked up the puppies to weigh them, I noticed that the puppies were warm. This means that the puppies are generating their own body heat and that I now can put away the heat lamp and lower the temperature in my house to something more comfortable for the rest of us! I still have to make sure that the puppies do not get chilled.

Today I put Revolution (selamectin) on Siri to kill cheyletiella mites. These mites live on the skin of dogs and normally are kept under control by a dog's immune system. However during pregnancy the immune system does not work as well as it normally does (partly to stop the immune system from attacking a fetus). Cheyletiella mites are zoonatic, meaning that they will jump their natural host to humans. Most dog breeders end up allergic to cheyletiella mites. The itch from these mites is maddening! (If you ever see a dog scratching repeatedly, one thing you should suspect is cheyletiella mites.) Plus we do not want the mites on the puppies, where they might overwhelm a puppy's immature immune system. On an infected puppy, the mites become so numerous that they can become visible to the naked eye and so have the nickname "walking dandruff".

I put Revolution on Siri right before she was bred and a few days before she gave birth. Revolution is a topical (meaning given on the skin) and not good for very young puppies, so Revolution can not be applied when the puppies might rub up against mom. So I had to wait until Siri was able to stay away from the puppies while the Revolution dried (about an hour, but I prefer longer to be on the safe site).

After applying Revolution to Siri I put Siri in her crate to make sure she did not get near the puppies. My ten-month old, Gwynie, took this opportunity to finally meet the puppies. Gwynie has been looking at the puppies longingly from the vantage of my bed, but Siri has never let Gwynie get close to the puppies. Here is Blue who I am sure is thinking "you look like my mommy but you do not smell like my mommy" when Gwynie looked in the whelping box. Gwynie got in the whelping box, but quickly got out when the puppies came to Gwynie to try to nurse. (Notice the plush toy in the picture. Now that the puppies eyes are open, I try to put different toys in the whelping box each day.)

Later, Siri letting the puppies nurse.

2 Jun
I always feel bad about waking up the puppies when it is time to weigh them. Both puppies now have passed the 500 gram mark, with Blue currently being in the lead of the weight race. Blue is now climbing out of the tray that I use when weighing the puppies on my puppy scale. So it is time to start using my "big dog" scale which averages weight over the last five seconds (helpful when a puppy or dog is moving around). Unfortunately my big-dog scale is less accurate than my puppy scale, only giving values to the nearest 5 grams. However the puppies are large enough now ... and gaining sufficiently each weighing that this is sufficient.

White checking out the green elephant. Later, White resting on Mommy.

I am starting to think about names for the puppies. I have decided that this will be my "Anthony and Cleopatra" litter. I usually choose names from a play that I have seen recently - either in person on or video. In this case, the choice was because I recently saw the Saturday Night Live 2018 video of Cleopatra (Cecily Strong) getting a new look with the help of a groomer named Isis (Awkwafina). Each puppy will need two names - a formal registered name ("Shaksper ..."), and a short "call" name. For example, their mother is "Shaksper Serena Mckellen" with call name "Siri". Names can be characters from the play or actor names ... just somehow related (even vaguely) to the play. Suggestions are welcome.

Mommy waking up White because it is time to nurse.

3 Jun
I started out just feeding the puppies 0.1 mL of plain whole yogurt with a syringe. Now they each are eating 1.0 mL.

Blue nursing. And White in her favorite position to nurse. Another view of White. If you look closely, you can see Siri's tongue that she was using to clean White.

Colic by the puppies has been getting less frequent. But White today must have overeaten, as I had to give her some Infant Gas Relief (simethicone).

Instead of falling directly back to sleep after nursing, the puppies have been staying awake for a moment or two. They are starting to explore the whelping box and interact with each other. They are trying to walk ... but their walk is more like a drunken sailor staggering around. They have not gotten the feet coordination idea. And their fat bellies make it difficult to stand for long. White trying to get back up after plopping down.

4 Jun
At this morning weighing, neither puppy had gained anything since last night. It just could have been a pause in growth, or the inaccuracy of my big-dog scale. At the evening weighing, both had resumed gaining weight. Blue continues to maintain her lead in the weight race.

The puppies playing. Notice that White has a little white patch on her chin.

Both puppies continue to try to walk, Blue especially. Here is Blue after plopping down after trying to stand. Another view of Blue trying to walk. Later I saw blue up on all fours. And even later I was able to get this shot of Blue showing air underneath her belly while a proud Mommy looks on.

However the puppies mostly just eat and sleep. The moments of activity are short and usually after they have nursed. Notice how big the puppies have gotten in comparison with Siri.

5 Jun
The puppies ear canals are starting to open and the puppies are starting to hear sounds. I know this because every morning, the puppies maternal grandmother, Mandy, barks (annoyingly) at me when I get out of bed. I am never sure if this is "Hurry up, get up, feed me breakfast" or "Danger, danger, the human is about to stand on two feet." (Probably the first, knowing how much Norwich love food.) Every morning when I get up I always check on the puppies and today was the first time that I saw any reaction to Mandy's barking. They raised their heads as if to say "What is that sound?".

White believes that sister Blue makes a good pillow.

The puppies showing off their new collars.

Both puppies up on their front feet, bumping into each other.

Siri is always on alert whenever anyone including me approaches the puppies. Blue is trying to walk, while White sleeps. After Siri determined that it was just me and not a threat to her puppies, she laid back down.

6 Jun
Puppies nursing. The puppies are still mostly sleeping and nursing, but I have noticed that the amount of time that the puppies are awake after nursing has increased slightly. When awake, the puppies mostly are interested in each other, acting like sumo wrestlers trying to push the other over.

Siri licked Blue's face, then turned around and licked White's face.

White attacking the snake that invaded thw whelping box.

The puppies no longer make a loud cry, but rather a soft cry when they are unhappy (hungry) and want mommy. The puppies also make a "trilling" sound that is probably a puppy growl, with a deeper trill indicating a more serious growl. I usually hear this when the puppies are playing.

Week 4

7 Jun
The puppies are three weeks old today and weigh as follows: White, 645 grams, and Blue, 680 grams. Blue continues to lead in the weight race.

Now that the puppies are three weeks old, I will only weigh them once a day. Otherwise I would go crazy worrying about minor fluctuations! (Like last night when at the evening weighing where I saw White the same weight as in the morning and Blue slightly down. Consulting my breeding notes reminded me that now is the time to go to a single weighing each day.

Also now that the puppies are three weeks old, my worry that things will go horribly wrong turns to cautious optimism that the puppies will survive. Things can still go wrong, but it is much less likely.

So now I will name the puppies. I had already decided that this is going to be an Anthony and Cleopatra litter. Given there are two girls, it makes sense to name the puppies after the two handmaidens of Cleopatra. So their registered and call names will be

White = "Shaksper Charmian" (Mimi)
Blue = "Shaksper Iras" (Izzy)

The registered names are how the American Kennel Club will know the puppies. I have been playing around with call names for the last week and settled on Mimi and Izzy, which is how I will now refer to them. Of course call names can be changed on a whim.

When preparing breakfast for my older dogs this morning, I looked down and one was missing. Normally all my dogs are watching me closely when I prepare food. So I went searching for the missing Ophelia ... and found Ophelia in the whelping box with the puppies. Evidently aunt Ophelia wanted to wish the puppies happy birthday. (Actually Ophelia is a first cousin, once removed to the puppies, but will get the honorific title of "aunt" because Ophelia is older.) Mommy Siri only growled at Ophelia, and Ophelia got out of the whelping box.

Mimi and Izzy nursing. Notice Mimi pushing with her arm against Siri's stomach. This is to help let the milk let down. When a puppy pushs repeatedly against their mother's stomach, it makes the puppy's head bob back and forth. If you look really closely, you can see Mimi's tongue making a seal with the nipple so that she can suck milk efficiently. Of course, after nursing it sometimes seems like a puppy is say " I can't believe I ate the whole thing."

The puppies still mostly just eat and sleep, and still twitch when they sleep (which means all is good). Now that the puppies can see, when awake they like to stay underneath things. (Most likely an instinct for protection.) Here they are tucked underneath mommy.

8 Jun
Siri with the puppies who are nursing.

Izzy sleeping underneath the pig rail. Notice how much she has grown.

The puppies are starting to "thumb wrestle" - except since dogs do not have thumbs, the puppies play the game with their mouths. First one will grab the other with their mouth, then the other will do so. As the puppies become more coordinated, the object of the game becomes to wrestle the other puppy to the ground.

But sleeping and nursing are still the most important things.

9 Jun
Puppies wrestling.

The puppies were doing a walk/crawl around the whelping box, making a soft crying sound - which was why Siri and I were checking on them. It was almost as if the puppies were realizing for the first time that the whelping box was a finite space. In actuality, probably the puppies just had a bit of gas.

Right now Siri is taking care of the puppies, feeding and cleaning them. This will change soon when the burden of work will fall on me. So this is probably the last time for a few months when Mandy (Siri's mother) and I can compete at an agility trial. So we are entered in a four-day agility trial this weekend. This is an "away trial", meaning not within a reasonable driving distance for a daily commute, so Mandy and I will be staying in a hotel. My other dogs will stay with my petsitter. And Siri and the puppies will stay with my friends, Jennifer and Keith. (Jennifer and Keith have taken care of puppies for me before, and are interested in becoming breeders.) Here are the puppies in a crate for the ride to Jennifer and Keith's house. And Jennifer greeting a puppy while Siri looks on. And the puppies exploring their new nursery.

Some pictures Jennifer sent me:

10 Jun
Some pictures from Jennifer:

Jennifer writes that she is calling the puppies "Blueberry" (Blue) and "Cobbler" (White).

11 Jun
Some pictures from Jennifer and Keith:

Correction - Jennifer texted me "The 'mommy' in the pictures is actually cousin Madeline ("Shaksper Lady Elizabeth Percy"). Siri allowed Madeline and Cobbler to spend quite a lot of time together outside of the whelping box. Siri still won't allow Madeline near the whelping box, but Siri is evidently comfortable with the five of us girls playing together on the bedroom floor. Cobbler is in both pictures with Madeline."

12 Jun
More pictures from Jennifer:

13 Jun
Jennifer holding Mimi and Izzy (or as Jennifer calls them - Cobbler and Blueberry).

In the afternoon after the agility trial ended, I picked up my other dogs from my petsitter, then I picked up Siri and the puppies from Jennifer and Keith. Then we all made the long drive home.

The puppies have noticeably grown and developed in just four days! Here is Izzy demonstrating that she has learned how to nurse while on her back. The puppies now can walk with only slight unsteadiness. Here is Mimi demonstrating a beautiful sit. The puppies are awake for a longer period of time and are much more active, which usually involves wrestling. Izzy is starting to think about escaping from the whelping box, and seems to be searching for a way out.

Another new thing is that the puppies are now having "puppy dreams". The puppies will be sleeping, then make a "yip" sound and sometimes move their legs, but remain asleep.

Week 5

14 Jun
The puppies are four weeks old today and weigh as follows: Mimi, 870 grams, and Izzy, 900 grams. The puppies had their second worming (0.1 ml pyrantel pamoate) today.

As the puppies are more active ... and because it was their birthday ... I set up their puppy playpen in my living room. All my adult dogs supervised the construction and had to check out the finished product. Here is mommy Siri making one more check that all is ready before I brought out the puppies.

I brought the puppies out and put them in the crate. Siri immediately crawled into the crate with the puppies to assure them that all was well. The puppies did a little exploring of the playpen, but were mostly interested in making sure that they were going to be fed in this strange new place.

Mimi was the first to "go over the wall" (the wooden block that I use so that Siri can go in and out of the playpen at will, but that attempts - usually futilely - to keep the puppies inside). Mimi was trying to get to mommy Siri who was just outside the entrance. Once Mimi was out, she wanted to go back inside. Izzy followed her sister over the wall a few minutes later. I picked both puppies up and put them back inside the playpen.

Puppies normally move into the crate in the playpen to nap. They evidently feel safer in the enclosed space. Mimi decided to "camp out" thinking that the orange elephant would protect her. The puppies are now peeing and pooping on their own. I have seen the puppies squat to pee. Siri is still trying to clean it all up, but it is a losing battle. My washing machine is now getting a daily workout.

I was outside for a period of time doing some yard work and came back inside to find that Mimi had gone over the wall again. Being unable to figure out how to get back inside, Mimi found the nearby donut dog bed, crawled inside, and went to sleep. My house is very "puppy-proof" so I do not worry about the puppies getting out of the playpen.

In the evening, I returned the puppies to the whelping box next to my bed. This will be the routine until the puppies outgrow the whelping box - playpen during the day, whelping box at night.

15 Jun
After a leisurely breakfast in the whelping box, then a nap while Mommy took her morning constitutional (walk), the puppies - after a brief stop at the weighing scale - settled in for another nap in their crate in the playpen.

Today I saw grandmother Mandy get in the playpen and check out the puppies. This was the first time that I had seen Mandy pay any attention to the puppies. Mandy got out of the playpen before I could grab my camera.

Mimi again was the first one out of the playpen, but with the single-minded goal to get some milk from mommy. (Cousin Gwynie is at the bottom of the picture, doing a stretch.) Izzy is more of an explorer, and came over to lick my toe. Both puppies are staying close to the playpen. The puppies walking is more like a waddle, and their running is more like a bunny hop.

Mommy Siri is still protective of her puppies, often growling at anyone who gets close to the puppies - especially when she is nursing them. But she is sometimes very relaxed about my other dogs playing with the puppies. I was impressed with how gentle cousin Gwynie is with the puppies, letting the puppies crawl all over her, bite her bushy tail - I am in the process of stripping Gwynie - and gently wrestling with the puppies.

Group photo - Grandmother Mandy looking at the camera, mommy Siri watching, Mimi checking if cousin Ophelia has any milk, and at the top Izzy playing with cousin Gwynie.

It was pleasantly cool in the evening, so I took the puppies outside for a short visit outside before bedtime. Both Mimi and Izzy enjoyed the new smells.

16 Jun
Waking up in the morning in the whelping box.

Mimi was investigating the new creature that invaded the playpen, but then saw that the milk bar was open.

Plotting escape, but a nap first seemed like a better idea.

Izzy is the first to explore to the other side of the room where cousin Gwynie was resting in a crate. Playing with cousin Ophelia; Mimi was using her mouth to grab Ophelia's rear leg.

An unusal nursing position - mommy Siri has her front feet on the wooden block. Another view. And yet another view.

Mimi climbing over the "wall". Izzy looked lonely after Mimi left to explore, but followed a few moments later.

The puppies now usually go into their crate to nap, but sometimes still sleep in the open. Mimi says sister Izzy makes a good pillow.

Siri spent the entire time (about five minutes) that I had the puppies outside this evening cleaning Mimi's rear end. Siri has her paw on Mimi's back to steady Mimi from the furious licking that Siri was doing.

17 Jun
Chasing mommy in order to get some milk.

Since the puppies seemed hungry ... and mommy was not letting them nurse ... I decided that today I would start feeding the puppies. I mixed some Esbilac (a commercial puppy milk formula) with some baby rice. Both puppies ate some of the mixture (Mimi is on the right). Mimi ate the most. Of course, mommy Siri was happy to eat the leftovers. I will now be offering the puppies food four times a day (breakfast, lunch, dinner, and evening). It will take some time for the puppies to transition from nursing to eating what I offer. Mommy's milk is always best!

Mimi resting with mommy outside. Izzy is right behind Mimi.

Izzy standing while mommy checks Izzy's rear.

Exploring outside is tiring. Izzy later found the donut bed a compfortable place to take a nap.

In other news, today I registered both puppies with the American Kennel Club.

18 Jun
Mimi in the morning standing on my porch. Sister Izzy is in the background trying to get up on the slab.

Izzy went halfway through the baby tunnel on my porch, before deciding it was scary and turning around to come back out.

Mimi discovered the toys and dog bed underneath my desk.

Both puppies napping in the donut bed to the right of my desk. Now that I am feeding the puppies four times a day, I also am starting to potty train the puppies. This means taking the puppies outside after they eat and right when they wake up from naps. While both puppies are eating the gruel I prepare (Mimi especially), they still prefer mommy's milk.

Mimi rearranging the towel in one of the big dog crates, as grandmother Mandy rests. Perhaps Mimi plans to grow up to be an interior decorator!

Mimi playing with cousin Gwynie on one of the dog beds in my living room.

Adventurous Izzy exploring the jungle. (I really need to mow.)

Another nap on the donut bed, with mommy Siri guarding the puppies.

19 Jun
Waking up in the morning. At the daily weight check, Izzy is the first to break the one kilogram mark; Mimi is close behind and I suspect will make one kilogram tomorrow. When playing outside after breakfast, I watched as Izzy did a complete passage through the baby tunnel on my porch.

I did some yard work this morning. Upon coming back inside, I immediately looked for the puppies to make sure everything was ok. The puppies were not in the crate in their playpen, nor were they sleeping in the donut bed that they have favored. I finally found them in one of the big dog's crates, with mommy Siri nearby guarding them.

The puppies had visitors today; good friends whom I had not seen since the start of the pandemic. Now that we are all vaccinated, we are much more comfortable about getting together. Corey (aka George), the young gentleman in the picture, informed me that the puppies were biting. Upon inspection, Izzy's baby teeth are just starting to erupt, but not yet for Mimi. Mommy Siri is in the foreground of the picture.

For dinner, I tried giving the puppies ground puppy kibble soaked in Esbilac. But the puppies were not interested in this new food group. Instead the puppies demonstrated a new configuration in which to nurse.

20 Jun
As I suspected Mimi broke the one kilogram barrier today.

I watched in amazement as Izzy by throwing her entire body weight against my doggy door was able to push the door open and take herself outside. These puppies seem like they are growing up so fast! Going through my doggy door seems to have been a one-time thing, as I have not seen her repeat doing it. Later I watched Izzy go up my baby dog-walk.

After nursing, sleeping, and exploring, the puppies like to wrestle. Wrestling has gotten much more physical, pushing the other to the ground, grabing a body part (leg or tail) and vigorously shaking it - something that one might think could do real harm. But young puppies seem to be flexible and no one gets hurt.

The puppies - like babies everywhere - are now putting everything in their mouth. Picking up small rocks with their mouth seems like the latest thing that the puppies have learned to do.

I noticed when I picked up Mimi for one of our periodic potty trips outside, that Mimi had puppy hickups. Her entire chest would move with a hickup. There is nothing one can do about puppy hickups; they eventually stop on their own.

I watched as Mimi tried to make friends with the puppy in the mirror, rubbing her face against the mirror.

In the evening, for the first time both puppies climbed out of the whelping box to get to mommy because they wanted to nurse. After nursing and I had put the puppies back in the whelping box, they again climbed out to go explore. So now I have to lock the puppies in the whelping box using a panel that slides in to block the entrance. Besides keeping the puppies inside, this also means that I have to lift Siri in and out of the whelping box if Siri wants to check on the puppies or let them nurse. Evidently last night after their raid on the milk bar, the puppies got enough to last them until morning. And now that I am actively working to potty train the puppies, every time I get up in the night to use the bathroom, I first have to take the puppies outside for a quick potty trip.

Week 6

21 Jun
The puppies are five weeks old today and weigh as follows: Mimi, 1065 grams, and Izzy, 1055 grams. Mimi today pulled ahead in the weight race.

A morning picture - cousin Gwynie on the left playing with a puppy, and mommy Siri on the right playing with a puppy.

Mimi showing off her puppy teeth which are starting to erupt. Both puppies are biting at the exercise pen because they are teething.

Mimi walking on a metal tray. I want the puppies to experience something new each day.

Izzy pushing open my doggy door. She did not figure out how to go outside and eventually gave up. I really am not emotionally ready yet for the puppies to learn to use my doggy door; I like knowing where the puppies are. Mimi was exploring inside and found the way to my bedroom today.

As a special birthday dinner, I gave the puppies some canned dog food (tripe). This was a big hit with the food critics who evidently are tired of gruel (baby rice). The puppies cleaned the plate. Now to watch and make sure that the puppies do not get diarrhea, as canned food can be rather rich for puppies.

22 Jun
Mimi's weight yesterday must have been taken right after she ate, as today Mimi's weight is down a bit - but still showing a steady rise over the previous days so nothing to worry about. Izzy has reclaimed her lead in the weight race.

I left both puppies sleeping in their favorite spot - the donut bed next to my desk - while I went to take a shower. I came back and found them both gone. I eventually found them sleeping in the nearby milk crate that doubles as a storage place for dog toys and a stand for my computer printer. Later I found Mimi napping on one of my big dog beds.

Today I offered the puppies some ground puppy kibble but without soaking the kibble in formula. This seems much more to their liking! (Note the rubber mat in the picture that I put in the playpen to give the puppies a new footing to experience.) So plain ground kibble will now become the primary puppy food offering at my house. With mommy Siri eating puppy leftovers, I have had to cut back what I feed Siri. I switched Siri from high-caloric puppy kibble to regular kibble several days ago. Now I am cutting back on extra feedings to Siri, letting the puppy leftovers be the extra feedings. Of course, Siri is still get cottage cheese twice a day to keep her calcium level up.

I think Mimi may be taking over the title of "Best Explorer". She is going further than her sister in exploring new aress. Here is Izzy exploring my gravel driveway.

In the evening I allowed the puppies up on my bed for the first time while I watched a movie. Mimi especially thought my bed was comfortable.

23 Jun
Now that the puppies are eating - at least a little bit - ground puppy kibble, I have to make sure that the puppies always have water available. I am now putting a heavy water bowl in the playpen. Hopefully the bowl is heavy enough so that the puppies can not tip it. If I had to guess, I would say that the puppies are getting at most 25 percent of their calories from what I am feeding, the rest still from mom. Although with the puppies now getting teeth, Siri is less inclined to let the puppies nurse except when Siri wants them to nurse. I frequently see a puppy come up to Siri, only for Siri to growl and move away.

Mimi with dirt on her nose after playing outside.

The puppies now can run in bursts about as fast as I or the adult dogs can walk. I now have to be careful to do the "puppy shuffle" and not lift my feet for fear of stepping on a puppy.

Izzy demonstrated twice that she can go out my doggy door at will. Mimi explored my bathroom today. Both puppies found the big dogs' water bowl. (The water is green because of an additive called "Healthy Mouth" recommended by my dental vet.)

The puppies exploring newly cut grass while Siri makes sure Izzy's rear is clean.

In my experience, an adult Norwich will not dig unless trying to get at a critter. (Several of my adults have caught voles.) A puppy - having an infinite amount of energy - will dig for the fun of it. Several generations of puppies have dug holes next to my porch slab. I occasionally fill the holes in, but sometime I just leave them. Mimi and Izzy have learned from the holes that the ground is not always level and how to climb out of holes. Usually I can tell when the puppies are getting tired and need to come inside for a nap (like any young child, they get hyper), but sometimes I misjudge. So Izzy decided that one hole made a good place for a nap.

24 Jun
Puppies exploring more of my yard. Exploring is thirsty work.

Today was "lie on your back" day - first Mimi, and later Izzy.

Ganging up on cousin Gwynie. Later, being little angels. Sometimes I find the puppies sleeping in the crate in their playpen, other times in one of the big dog crates or one of the dog beds around my living room. I feed the puppies in their playpen, and - now that Izzy has demonstrated that she can go outside on her own - I lock the puppies in their playpen if I can not supervise them.

The big adventure of today was a long car ride. Cousin Bear ("Shaksper Guildenstern"), litter-brother of Ophelia, will be staying with us for the weekend. We drave to pick up Bear from Jennifer and Keith, meeting them at a half-way point between our two homes. I set up a mat and an x-pen so the puppies could stretch their legs at the handover spot. Here are the puppies investigating why cousin Madeline ("Shaksper Lady Elizabeth Percy") got in the puppies' crate. Jennifer playing and holding the puppies. In both pictures, Izzy is on the left and Mimi on the right.

25 Jun
I am still feeding mommy Siri cottage cheese twice a day. My other dogs also get a taste otherwise they feel left out. I let the puppies clean the empty cottage cheese container.

Mimi and Izzy.

When mommy refused to come out, the two puppies crawled over her and into the crate to nurse. Later, sleeping head to toe in one of the big dog's crates.

Mimi showing off her erupting babby teeth.

A group photo - at the top, vistor cousin Bear looking left while cousin Gwynie looks right; in the middle, mommy Siri on the left, while Mimi is biting cousin Ophelia's leg; grandmother Mandy is resting and Izzy at the bottom is trying to get out of the photo.

Mimi says that mommy Siri makes the best pillow.

26 Jun
When I get up in the middle of the night to use the bathroom, I take the puppies outside to potty. Usually it is a quick trip and I am able to fall back asleep fairly easily. However when Siri wants to nurse the puppies, then I have to stay awake because the puppies will need a second longer trip outside after nursing. After which I always have a harder time falling back to sleep - especially if I had read some inflamatory email on my phone while waiting! For the past two nights, Siri has wanted to nurse the puppies around 3 am. So a serious sleep deficit had built up. This morning after feeding everyone breakfast and making sure everyone had been outside to potty, the puppies, my older dogs, and I all piled back into my bed for a nap. The puppies did not stay on my bed as they wanted down to get to mommy for some more nursing. I was so tired I told Siri to take care of the puppies and I closed my eyes. When I finally got up, I found the puppies napping on one of the dog beds in my bedroom.

The puppies playing king of the hill.

The puppies out for a walk with mommy. Mimi is in the lead; Izzy is trying to bite Siri's leg.

This is not a great picture of a game that the puppies play. I call "gunfight" as in "gunfight at the OK corral". The puppies will get real still and stare at each other, then one will "draw" and charge the other puppy. Usually wresting will ensue. Note the x-pen (exercise pen) in the background in which I put the puppies at night so that I am not chasing the puppies all over my fenced yard.

Here is mommy Siri on top of Mimi. Siri is growling and keeping Mimi from getting up. This went on for a good minute or more. Cousin Gwynie is watching. I am never sure if this activity is mommy chastising a puppy for some infraction, or just a general "toughening up" of the puppy for the hard world ahead.

I try not to leave the puppies outside by themselves, but sometimes I have to come inside for a moment (something on the stove, bladder pressure, etc). Izzy decided to follow me and demostrated that she knows how to use my doggy door to get inside. The puppies stand on their hind legs and use their body weight to push open the doggy door.

27 Jun
At breakfast this morning I gave the puppies a choice of ground and unground puppy kibble. The puppies let me know - by how much they ate of each = that they prefer unground kibble. Their puppy teeth evidently have developed enough so that they can now chew puppy kibble.

Mimi trying to get close to cousin Bear. I have been trying to get a picture of cousin Bear with the puppies. But every time a puppy gets near Bear, he gives little growl and moves away. It is as if he is saying "Don't bother me, kid".

Mimi carrying a small rubber toy.

Today I saw the puppies chase each other through my baby tunnel for the first time. "Tag, you are it" is not only a children's game! Izzy wrestling with cousin Ophelia.

Mimi watching the adult dogs who were running outside my fenced yard.

The puppies ate a big lunch of puppy kibble. I was happy to finally see them eat a large meal.

Any work that I am doing is frequently interrupted as I make sure that I know where the puppies are ... especially when the puppies are sleeping. I watch for when one of the puppies starts to wake up, then hustle them both outside to potty. Today I could not find Mimi. She was not sleeping in any of her favorite spots - the donut bed, one of the large dog pillows, not the crate in the playpen, nor in any of the big dog crates. I finally found Mimi sleeping off her big lunch in a milk crate that I use to store toys.

For dinner, I cooked some ground turkey to put on top of the kibble of my older dogs. I put mostly juice on top of the puppies' kibble. Mimi and Izzy thought this addition was great! After cleaning their food bowl, they asked for and received seconds. Their little bellies were so full, that they turned down eating their pre-bedtime meal. Mommy of course was happy to eat what the puppies did not want.

Mimi wondering why she is not getting any of mommy's cottage cheese. I am slowly introducing the puppies to a variety of foods, but I have to be careful that the puppies do not get diarrhea

Week 7

29 Jun
The puppies are six weeks old today and weigh as follows: Mimi, 1205 grams; and Izzy, 1240 grams. The puppies were wormed again today.

According to breeder folklore, at six weeks of age a puppy looks like it will as an adult. The other times this happens are at six months and eighteen months. Between these times, different body parts grow at different rates, similar to how children and adolescents change as they grow. It is traditional to get some nice photos of puppies at this age. However getting a photo of a squirming puppy is difficult without someone to hold the puppy. I put the puppies on my grooming table and did my best to get some nice photos as they moved around.

Mimi says that mommy makes a great pillow.

Jennifer, the owner of Bear, is always trying to steal my puppies. She has even gone so far as to train Bear to help with an abduction. Here is Izzy sleeping in Bear's crate after being lured there by Bear.

The puppies got another long car ride in the evening as we returned cousin Bear to Jennifer and Keith, meeting at a half-way point between our homes. Jennifer helped me get better pictures of the puppies.

When we got home, I fed the puppies their evening meal (which the puppies were again not interested in), and mommy Siri her evening cottage cheese. After potty and play outside, I put the puppies in their whelping box for the night. Siri decided that the puppies should not go to be on an empty stomach, so she got in the whelping box and let the puppies nurse. I noticed that Siri threw up her cottage cheese, offering it to the puppies. When the puppies did not eat it (milk being preferred), Siri re-ate her cottage cheese. This tells me that Siri thinks that the puppies are ready to be weaned. I expect that Siri will continue to let the puppies nurse, but will slowly cut them off.

29 Jun
Izzy is so stressed out. And later, sleeping with her head inside protective head gear.

I gathered some sticks this morning and gave them to the puppies. They were a big hit. Sticks are nature's chew toys for teething puppies.

My new CD player came today; my old one having died since my last litter of puppies. Now the puppies can listen to the recording of city sounds that I have. I let the puppies play for a bit with the styrofoam packaging before taking it away when they tried to bite it. An empty cardboard box now sits in my living room, waiting for teething puppies to discover how much fun it is to tear it apart.

Three dogs chewing a stick - from left to right, Mimi, cousin Gwynie (11 months old), and cousin Ophelia (1.5 years old).

30 Jun
Sometimes I will see a puppy searching for the exactly right spot in which to put its body weight to open my doggy door. As social director of "puppy camp", I immediately scoop up the puppy, pick up her sister and carry them outside to potty. I do the same as soon as I notice either of the puppies waking up from a nap or after they eat. So the puppies are not currently using my doggy door, although they know where it is.

So life revolves around taking the puppies outside to potty, letting them play for a while until I feel confident that they are "empty", then I carry them or hold the door for them and bring them inside. I then try to get some work done while the puppies play. Soon I will notice that it has gotten quiet. Now the motto of any Norwich owner is "Silence is golden ... unless you have a Norwich Terrier. This it is 'suspicious'". So when it gets quiet, I go looking for the puppies and usually find them napping in various places. I make note of the spots so that I can keep on eye out for the first puppy to wake up. And then I take the puppies outside again and the cycle begin anew.

For some reason several times today when it got quiet, I kept "losing a puppy" - meaning that I had a hard time finding where the puppies were sleeping. Almost always I had an easy time finding one puppy, but then I would spend several minutes hunting around looking first in the usual spaces and then unusual spots until I found the second puppies' napping place.

Mimi sleeping on a Martian. Izzy napping in one of the big dog's crates.

The puppies would like to petition the Olympic committee that "plastic bottle hockey" should be considered as a new Olympic sport. When not moving the plastic bottle across the floor ... err "field" ... wrestling takes place. The puppies think the sport would have great spectator appeal.

Puppies nursing. The puppies are still getting the majority of their calories from mommy. Siri is slowly cutting the puppies off, and will growl if a puppy appoaches but the "milk bar" is closed. The puppies are also learning "bite inhibition" as nursing will stop if a puppy uses its teeth when nursing.

1 Jul
While I was taking a shower this morning, Izzy climbed back into the whelping box to play.

During the night I had decided that grandmother Mandy needed to be seen by a vet. Since I expected this would be an all-day affair, I took Siri and the puppies to Jennifer and Keith's house, who kindly took care of everyone for the day. So the rest of these pictures are by Jennifer. (Mandy is ok. The only real damage was to my wallet. Details are ... or will be soon ... on the Shaksper News blog.)

Puppies with cousin Madeline.

Jennifer has a better camera ... and a much better eye for pictures than I do.

When we all got home after the two-hour car ride, the puppies - having lots of energy - raced around my yard. I realized that the puppies have now explored about half of my fenced yard. When we went inside - still having lots of energy - the puppies followed my older dogs and went up the ramp onto my bed for the first time.

2 Jul
An overcast rainy day today, but the rain did come with cooler temparatures than the normal summer heat. Taking a nap on a dog pillow in my bedroom (guarded by mommy) seemed like the best idea to the puppies this morning.

Rain does not help puppy potty training. I put a towel on the inside of my doggy door to dry the feet of any dogs coming back inside from the wet outdoors. Puppies think the towel - being soft and absorbant - is the perfect place to piddle.

I trimmed the puppies' nails today. Using Nutra-Cal (mostly glucose, i.e. sugar) as a treat before doing each paw takes a puppy's mind off what I am doing. I am still using a clipper, as the puppies are too young yet to meet Mr. Dremel.

I noticed that Izzy - who has always seemed like the more adventurous of the two puppies - seemed to go through a short fear period today. Izzy was hanging back when there was something new. By the end of the day, Izzy seemed to have worked through it.

Both puppies have now earned the title of "ankle biter excellent". I will be walking along - actually doing the "puppy shuffle" so as not to step on anyone - and a puppy will come up behind me and bite my ankle. I always let out a loud yell of pain - louder than actually necessary in order to tell the puppy that they are hurting me. (Puppies learn bite inhibition by the sound of pain when they bite another puppy too hard.) If the pain from a bite is particularly bad, I gently kick the puppy off me. Puppy teeth are sharp!

Late in the afternoon, the rain let up and the puppies played outside, stopping only to visit the milk bar. Mimi looking at me while nursing.

For dinner the puppies had a taste of scrambled eggs to go with their puppy kibble.

3 Jul
Puppy wrestling seemed to be rougher today than in previous days. Mimi followed cousin Ophelia up onto the baby dogwalk. Izzy came up to investigate a few minutes later. Fortunately my baby dogwalk is not very high, and if a puppy falls off it is not far to the ground. (And puppies, like all babies, seem to "bounce"; that is, survive falls that might hurt an older dog.) The puppies also played on my wide green seesaw, but I was not able to get any good photos.

I noticed today that Mimi's ears are starting to come up. Compare Mimi's ears with Izzy's ears, which are still folded over. The ears will go up and down until finally staying up in the distinctive "prick ear" look of a Norwich Terrier.

Mimi sleeping with her legs straight back. I call this the "dreaming of being Underdog" look. ("Underdog" was a cartoon television series of the 1960s, in which the canine hero had superpowers and had similar adventures as Superman.)

4 Jul
The puppies are eating more kibble now. Some meals they gobble their kibble down; others meals, they only nibble. I guess it depends on how resently Siri has allowed the puppies to nurse. I would estimate that the puppies are now getting about half their nutrition from what I am feeding them.

Sisters sleeping together. Note the dirt on Mimi's nose. Mimi had been digging outside before I brought the puppies in for a nap. Later sleeping together in the classic V position. Puppies, when napping, will often wake up and move to another spot to sleep. I guess it is their version of "rolling over". A few minutes after the last photo, I looked again and saw that both puppies had moved.

I got my tippy board out for the puppies a few days ago. This is a round board with a ball underneath, so the board can tip in any direction. (It is actually marketed as a human exercise board.) Both puppies have come up to the board and by putting a paw on it made it move. Izzy today was the first to get on the board with all four paws and try to ride the tippy board.

Week 8

5 Jul
The puppies are seven weeks old today and weigh as follows: Mimi, 1415 grams; and Izzy, 1495 grams. Notice the puppies' ears. Izzy has what I call the "Flying Nun" look, based on the 1960s television sitcom staring Sally Fields.

Since the puppies can climb the ramp onto my bed ... and I do not want them on my bed unless I am around ... I now have added taking the ramp down to my morning chores and laying the ramp on the floor.

Puppies nursing. And a closer view.

I do not know why the puppies are so interested in the holes in the cinder block that I use to keep my fence anchored. This is not the first time that the puppies have stuck their heads in the holes. Mommy Siri is guarding the puppies' backs. (Actually Siri is just looking out at the field on the other side of the fence.)

In the evening, I had the puppies and my other dogs on my bed while I watched a movie. I suddenly noticed that Siri had jumped into the whelping box - a 16-inch jump - so Siri really wanted to be in the whelping box. (Normally Norwich jump 8 inches in agility.) Siri was staring at me. It was if she was telling me "It is time for the puppies to nurse and go to bed." So I put the puppies in the whelping box, Siri nursed the puppies, and then the puppies when to sleep.

6 Jul
Puppies waking me up in the morning. When the sun starts to peak over the horizon, the puppies start jumping against the side of the whelping box. This is my cue to quickly get out of bed and take the puppies outside to potty.

I had to get the Bitter Apple out today. Bitter Apple is a spray that tastes bitter and is used on things that you do not want puppies to chew on. My house is very puppy-proof - electrical cords are behind things, etc - but every litter I still have to convince puppies that my toilet bathroom mat does not need to be dragged into the living room.

The puppies were playing very rough today. When one puppy would be too rough (bite too hard), the other puppy would come back very aggressively to let the first puppy know that they had not played fair, then the two puppies would go separate ways for a while.

The puppies bite at the ankles of the older dogs to get attention. To get away, the older dogs will jump up on things to get away from the puppies. Here is cousin Ophelia up on a wooden tunnel to get away from Mimi. If you look closely, you can see that Ophelia is giving Mimi a lick with her tongue.

The puppies have been chewing at each other's yarn collar. Mimi actually pulled Izzy's collar totally over Izzy's head and off today. I have not replaced Izzy's collar as I can tell the puppies apart by sight. Izzy has slightly darker guard hairs, currently has Flying Nun ears, and, as a last resort, I know that Izzy does not have a white patch on her chest.

Mimi found a new place to take a nap.

7 Jul
Small crawling insects are of intense interest by the puppies (including cousin Gwynie, who being under a year old is still a puppy herself).

Mimi with a little dirt on her nose. Mimi from the side. Sister Izzy also with dirt on her nose.

A group photo except for grandmother Mandy who was at my side - Izzy at the top, with cousin Ophelia behind her. Behind Ophelia is mommy Siri. Besides Siri is cousin Gwynie. Behind Gwynie is Mimi.

Mimi resting near mommy Siri.

Mimi started to destroy the cardboard box that I had set out for the puppies to play with (and chew up if that is their wish). I will now be picking up pieces of cardboard scattered around the house.

For dinner, I gave the puppies a taste of tuna fish along with their kibble.

There was a noticable drop off in the amount of nursing today. I finally saw Siri let the puppies nurse in the evening, but there was much growling by Siri ... evidently the puppies are doing too much biting.

I was asked today about the puppys' fur color. Right now the puppies have dark "guard hairs". Some breeders pull (strip) the guard hairs, but I leave the guard hairs and let them fall out naturally ... or until I can not stand it anymore and pull them out. Based upon their parent's coat color genetics, I expect the puppies either to be red or a red grizzle. Coat color genetics is still an active area of research - not everything is known.

8 Jul
A very rainy and windy day today as the remnants of hurricane Elsa passed through the area. I had the puppies outside before the rain started and watched Mimi be the first to do a circumnavigation along my fence line. But mostly the puppies played inside today. (Izzy is on the left, Mimi on the right.) Izzy will go in and out my doggy door at will, but Mimi still wants me to hold the door for her. The puppies were not thrilled about going outside to potty when the wind was blowing and the rain was coming down hard.

Izzy has now pulled ahead of her sister Mimi by 100 grams in their weight race, which is about as much as one of them weighed when they were born.

The big news of the day was the trip to the vet for first puppy shots. To my surprise, I was allowed in the vets office with the puppies. This was the puppies first trip away from mommy and each puppy got their own crate to ride in. I noticed that both the vet and I wore masks - even though both of us are vaccinated - but that most of the staff did not wear masks. First, Izzy was examined and got her shot. Then Mimi was examined and then got her shot. I tried to pay with a puppy (Izzy) but the receiptions said that they could not give change (Mimi).

9 Jul
Siri seems to have stopped nursing the puppies. I did not see Siri let the puppies nurse yesterday or today. Tough love!

The puppies were chasing each other through my baby tunnel this morning. They would run though the tunnel, then run around to the opening ot the tunnel and chase each other again through the tunnel. You can see the puppy paw prints left by wet paws.

Mimi contemplating the universe on my baby teeter. Moments before Mimi had been going to one end of the teeter to make it bang, then she would go to the other end and the teeter would tip and bang, then back again, etc.

Izzy looking at the camera. Here Izzy's ears are up, but the tips of her ears are still usually folded over. I know that Izzy's ears will eventually go up, but I can not help worrying about it.

The big adventure of today was a long car ride to pick up aunt Winnie, who will be staying with us for several days. We met at an interstate rest stop to get Winnie. The puppies got to see cars go by and met Winnie's owners, Karissa and Tom. (Izzy is being held by Karissa; Mimi by Tom.)

After all the excitement of the day, Mimi was exhausted.

10 Jul
This morning as I was getting up, I saw Izzy standing on the pig rail looking out and trying to jump out of the whelping box. So that is my cue that it is time to retire the whelping box. So I moved the whelping box back to its storage area, and I set up a "puppy condo" next to my bed for tonight. We will see tonight what the puppies think of their new sleeping quarters.

"We each have our own big dog bed!"

The puppies met Mr. Dremel today - a wood-working tool that I use to do dog's nails. Almost all Norwich have dark nails, so if you cut the nail it is easy to cut into the blood vessel in the middle of the nail. So instead of cutting the nail, I grind the nail down with a Dremel. With a Dremel, when one gets near the blood vessel a dog will usually let you know. Dogs are not excited about a power tool being near them, but can learn to tolerate it. My dogs know that the deal is that they get some Nutri-Cal (essential a sugar gel) and I get to do a paw. And at the end after brushing their teeth, they get some food. (Norwich are very food motivated!) Today with the puppies I just used the Dremel to blunt their nails and get them used to the sound of the Dremel.

The puppies have to stand on their hind legs and throw their body weight against my doggy door in order to get it to open. Mimi being lighter than Izzy still has difficulty getting the doggy door to open ... but can do so if she really wants. Of course it does not help if sister Izzy is on the other side pushing in the opposite direction.

The puppies had a taste of sardines with dinner. All my dogs like the sweetness and crunchiness of a bell pepper and I always have to share when I have one as part of dinner. So this evening, the puppies had their first taste of an orange bell pepper in their playpen ... otherwise the big dogs would steal the treat! Note the nose of cousin Gwynie on the right.

11 Jul
The puppies did just fine in their new sleeping quarters last night. There was very little fuss. Each had a rawhide chew toy to keep them occupied when they woke up during the night. And of course I took them outside to potty several times during the night.

The life of a puppy - rough play (Mimi has pinned Izzy whose teeth you can see), then a water break, then a nap (Mimi and Izzy). Repeat except for times when food appears.

I was able today to get a good look at the puppies teeth. Things seem to be coming in nicely. Mimi has six puppy incisors - the small teeth in the front between the large "canine" teeth - both top and bottom. This is the normal number and what breeders often mean when they say that a dog has "all its teeth". Izzy has six incisors on the top, but only five on the bottom. There seems to be a gap where the missing incisor on the bottom should be.

The puppies have been respectful of visiting aunt Winnie. Winnie, having been a mother herself, is tolerant of the puppies. Winnie was resting in her crate when the puppies bumped Winnie's crate door closed. Then the puppies started growling at Winnie and lunging at the door. Winnie ignored the puppies.

Week 9

12 Jul
The puppies are eight weeks old today and weigh as follows: Mimi, 1595 grams, and Izzy, 1735 grams. Now that the puppies are eight weeks old, there will be a couple of changes in their lives. The first is that now instead of weighing them every day, I will weigh them once a week. As long as I see them eating and acting normally, then I will assume that they are ok.

Group photo - mommy Siri is using her tongue to groom Mimi.

Mimi checking out mommy Siri to see if milk has reappeared. Sadly for these puppies the milk bar is now closed. Siri is back to her regular diet and is at a good weight.

Both Mimi and Izzy now go through my doggy door at will. I can either go crazy trying to always be with the puppies when they are outside, or I can accept that they will sometimes be outside without me. I still try to be outside with the puppies during the early morning and also evening when the daily summer temperature is cooler and the puppies want to spend a significant time outside playing.

Another change now that the puppies are eight weeks old is that the puppy food service is reducing from four offerings a day to just three offerings (breakfast, lunch, and dinner). No more before bed feedings. To help the puppies adjust to this new schedule, I cooked some ground turkey - always a favorite with my dogs - as everyone's kibble topping. The puppies ate a big dinner and then had a turkey-induced nap. Here is Mimi with a very fully belly.

13 Jul
A scrum of Norwich - cousin Gwynie was being chastised by the other adult dogs, and the puppies joined in. Gwnie is on her back underneath, and from left to right are cousin Ophelia, aunt Winnie, mother Siri, and grandmother Mandy. There was much barking including some high pitched barks from the puppies.

Izzy sleeping on grandmother Mandy's favorite dog bed. Later Izzy outside chewing on a stick while Mimi searched for a bug in the grass.

Three puppies chewing on a stick - from left to right, Mimi, Izzy, and cousin Gwynie (who for a few more days is under one-year old). A few minutes later, Izzy demonstrated chewing on a stick while on one's back. Notice Izzy's puppy teeth!

14 Jul
Even though mommy Siri has stopped nursing the puppies, it does not mean that Siri is ignoring them. Here is Siri evidently teaching Mimi some doggy manners. Siri is still helping to keep the puppies clean, especially when they go potty. For a while I was worried that Mimi was going to get a complex, as every time Mimi went to poop, Siri would be there licking Mimi's behind. I imagine that it is difficult to poop with someone licking your behind!

Today aunt Winnie returned to her home with Karissa and Tom. It was fun having Winnie back even if was only a short visit. When it was time to leave, the puppies tried to get into Winnie's crate with Winnie. (Winnie is in the crate, so is one of the puppies, while the other puppy is trying to get into the crate.)

The puppies came along for the car ride to the big city (Raleigh) and stayed with Jennifer and Keith, while I met Tom to hand over Winnie and then do some shopping. After shopping, I came to pick up the puppies for the car ride back home. I was in Jennifer and Keith's back yard, talking with Jennifer, while the puppies played with Jennifer and Keith's dogs. I watched in amazement as Izzy - on her own and without any encouragement - jumped the baby agility jump that was set up. Jennifer then had to help Mimi do the jump.

Mimi being sniffed by cousin Madeline and resting in the shade.

Izzy - you can clearly see Izzy's five lower incisors and the missing spot where the sixth incisor should be. Izzy sitting and running.

Jennifer commented that the puppies are biting softer than when she last saw them - meaning that the puppies are learning bite inhibition.

15 Jul
It is unusual now to see the puppies sleep in their playpen. (Mimi is closest to the camera, Izzy is in the crate.) Normally I see the puppies napping on one of the dog beds - Mimi likes the donut bed next to my desk - or wedged into a corner somewhere - Izzy is often underneath my desk. It is almost time to pick the playpen up.

The puppies playing "keep away" with the rope toy.

Cousin Ophelia giving Mimi a tongue bath.

I noticed today that both puppies have a bump where they got their first puppy shot. This is not unusual and the bumps will go away.

I have not mentioned puppy training. The first command I teach every puppy is "Do your business". I have been saying "Do your business" since I started taking the puppies outside to potty, and then praising them with a high-pitched "Good dog" (or similar) when I see them squat to pee or poop. By now it is almost a Pavlovian reaction with the puppies - repeating "Do your business" when I take them outside quickly gets them to squat to pee or poop.

16 Jul
Since Norwich do not do well in the heat, we only take walks during the summer in the early morning or evening if it is cool. If it is not cool, I am fortunate to live in the country and so can let my adult dogs outside my fenced yard for some time at their own pace in the nearby field and forest. My adults quickly come back, usually panting because of the heat and happy to get back to where it is air-conditioned. Cousin Gwynie did not go far this morning and the puppies were unhappy that cousin Gwynie was on the other side of the fence.

At one point during the day I found the puppies sleeping my my bedroom. Mimi sleeping. I am not sure why Mimi has her tongue out. Izzy was on the other side of the room sleeping on grandmother Mandy's favorite bed. While I watched, Izzy got up and went to sleep with Mimi. Izzy is now noticably bigger and heavier than Mimi.

Later I found the puppies sleeping with one inside the playpen and the other just outside. Mimi is on her back, and Izzy woke up as soon as I came near with the camera.

17 Jul
Today the puppies travelled again to Raleigh for another play date at Jennifer and Keith's house. I had to go to the airport to pick up my thirteen-year old nephew, who has come for his annual summer vacation with his "crazy dog uncle who lives in the middle of nowhere". (His words.)

Group photo - (from left to right) Mimi, cousin Bear, uncle Boo, Izzy, and cousin Madeline.

One thing that the puppies are exposed to at Jennifer and Keith's house that they do not get at my house is stairs. Jennifer tells me that the puppies can go up and down stairs. But the puppies still have trouble with their doggy door as it is a much bigger jump to go in and out because of the stairs.

18 Jul
One of the reasons that I imported my nephew is to help me when we take the puppies for a walk outside my fenced yard. The puppies can now run about as fast as a person can run. So if the puppies ran in opposite directions, if I was by myself I would be afraid that a puppy might get lost. But with two of us, we each can keep an eye on a puppy. In the picture you can see cousin Ophelia being part of the "puppy police" and stopping a puppy from running.

During our morning walk, Izzy took great exception to the covers to my septic system - barking and lunging at the covers. The covers did not take notice. Cousin Gwynie is walking towards the camera.

Mommy Siri teaching Mimi some lesson for some lapse in canine manners. Izzy is trying to help.

The tips of Izzy's ears have started to stand up straight. This is making it difficult for me to differentiate at a glance between Izzy and Mimi.

Today the puppys' playpen got picked up and replaced with a small desk for my nephew. I set up two crates for the puppies and they now are being fed in their crates. The puppies are not sure that they like this separated eating arrangement.

Mimi wedged into a corner for a nap.

In the evening, we took the puppies for a long walk all the way around my house.

Week 10

19 Jul
The puppies are nine weeks old today and weigh as follows: Mimi, 1800 grams; and Izzy, 2105 grams.

Izzy on my baby teeter with Mimi behind her. Then Mimi walked around her sister to get closer to the camera. It was a raining day today as you can see from the paw prints in the picture.

Now that Izzy's ears are standing up, in an effort to more easily identify the puppies at a glance, I stripped Izzy's ears of the dark guard hairs. However I am not sure that stripping Izzy's ears is a big improvement. I still have to look closely to identify which puppy is which.

20 Jul
I saw mommy Siri teaching Izzy ... something. Mimi is helping; cousin Gwynie is on the left; and cousin Ophelia on the right. I am never sure if this activity - which involves puttin a puppy on its back, much growling on both sides, and repeated nipping and wrestling - is chastisement or playing. I often call it "toughening up the puppy". But the next moment I got this look which sure seems like "What? We are not doing anything. We are just playing". Notice the fat belly that Izzy has. Both puppies are going through a "fat belly" phase.

Later I found Izzy playing and wrapped up in an old shirt that now is used to line a dog crate. Notice Izzy's stripped ears, which no longer have a fringe of dark guard hairs.

Another trip to the city today, to take my two-legged puppy (my nephew) to some museums. So the puppies got another play date at Jennifer and Keith's house. Here is a picture by Jennifer showing Mimi playing with cousin Madeline, with Izzy in the background.

21 Jul
Mimi sleeping in the milk carton that is my printer stand. Notice how much bigger Mimi now is. It seems like the puppies are growing and changing every day. Later, a much more dignified photo of Mimi. Note the guard-hair fringe around Mimi's ears.

Izzy with cousin Ophelia. Ophelia has herself curled around, so it looks like the two are the same size - which is not the case. Ophelia is twice the size of Izzy. But Izzy is catching up!

On one of my periodic "it has gotten too quiet, where are the puppies?" searches, I found the puppies at the far end of my fenced yard chewing on some sticks. (Izzy is on the left, Mimi on the right.)

22 Jul
This time it is Mimi (upside down) getting a lesson in manners from mommy Siri, with sister Izzy (whose body you mostly see) helping mommy.

Sisters sleeping together, Izzy in the front, Mimi in the back.

Today I took the puppies to Jennifer and Keith's house, where they will be staying for several days while I am away on a judging assignment. My other dogs (including mommy Siri) will stay with my petsitter. This will be the puppies' first extended time away from mommy. But the puppies will have Jennifer and Keith's dogs to play with and keep the puppies in line.

23 Jul-25 Jul
Some pictures by Jennifer. Jennifer calls Mimi "Cobbler", and Izzy "Blueberry".

24 Jul
While Jennifer and Keith competed with their dogs at a local agility trial, the puppies had a play date at the home of Sara who took this nice photo of sleeping puppies (Mimi on left, Izzy on right).

Week 11

26 Jul
The puppies are ten weeks old today.

I drove home today, picking up my adult dogs from my petsitter and the puppies from Jennifer and Keith. I even picked up an extra dog, Boo ("Shaksper Lady Catrin Mortimer") who will be staying with me for a few weeks while Ian and Terry are travelling. It was a long day of driving and too late for much else by the time we got home.

27 Jul
I weighed the puppies this morning. Mimi weighs 2100 grams, and Izzy weighs 2390 grams.

Mommy Siri lost no time in resuming her training of the puppies. Trying to hide in "Fort Box" did not save the puppies from a lesson.

The puppies seem to change every day. Currently both Mimi and Izzy have round bellies. They are obviously saving up for a growth spurt. I am still feeding the puppies three times a day. Each meal is 1/4 cup of puppy kibble with a teaspoon of wet food on top. Usually the puppies now eat everything and clean their bowls.

28 Jul
I had a doctor's appointment in the city today. So the puppies got another long car ride and a play date at Sarah's house for a few hours.

Now that the puppies are being fed in individual crates, I am working on the "inside" command - meaning go in your crate. This is a hard command for the puppies to learn as they see me holding a food bowl and seem to only be able to think about food.

29 Jul
I have been playing catch-up will everything that seems to pile up whenever I go away for a few days. Mommy Siri, grandmother Mandy, and all the cousins of the puppies do a good job of keeping the puppies occupied. The puppies potty training is paying off. When I remember I shoo everyone outside, but mostly the puppies have been taking themselves outside when necessary. No puppy accidents in at least two days now.

In the afternoon the puppies got another long car ride to the city for a play-date at Jennifer and Keith's house. After taking my nephew (my "two-legged puppy") to see a Shakespeare play in the evening ("As You Like It"), we picked up the puppies and drove home.

30 Jul
Dead to the world

Izzy was trying to get mommy Siri to play with her. Izzy was on her back leaning into the crate where Siri was hiding. When I got the camera out, Izzy was like "Who, me?".

The big event of the day was the trip to the vet for second puppy shots and microchips. Izzy got her shot and then her microchip. The microchip needle is big, even though I use the "mini" microchips. Izzy let out a yelp when the needle when in. Mimi was next, getting her second puppy shot and then her microchip. Mimi did not seem to mind either shot.

I have commented previously on how the puppies seem to be changing and growing every day. Today for some reason I noticed that their tails have grown.

It is amazing how "rough" the puppies play - much growling, jumping on each other, trying to bite the other's leg, holding the other down, and chasing each other. It is the same when the puppies "play" with mommy ... or is it mommy giving the puppies a lesson?

Epilogue

Epilogue
With just a week to go, life got too hectic and I was not able to maintain this litter blog. So to wrap things up, I will do an "epilogue".

Some pictures by Jennifer:

Some pictures by me:

6 Aug
Mimi at the vet to get her certificate of health before going to her new home.

7 Aug
Griffin and John with their new puppy. Griffin tells me that Mimi will be called "Estelle".

Izzy will be staying with me.