Siri's 2022-2023 Litter

Pregnancy

28-29 Sep 2022
Siri ("Shaksper Serena Mckellen") was bred by side-by-side AI (artificial insemination) to Ariat ("Camio's Walking On Air For Half A Bob") owned by Cathy Rogers.

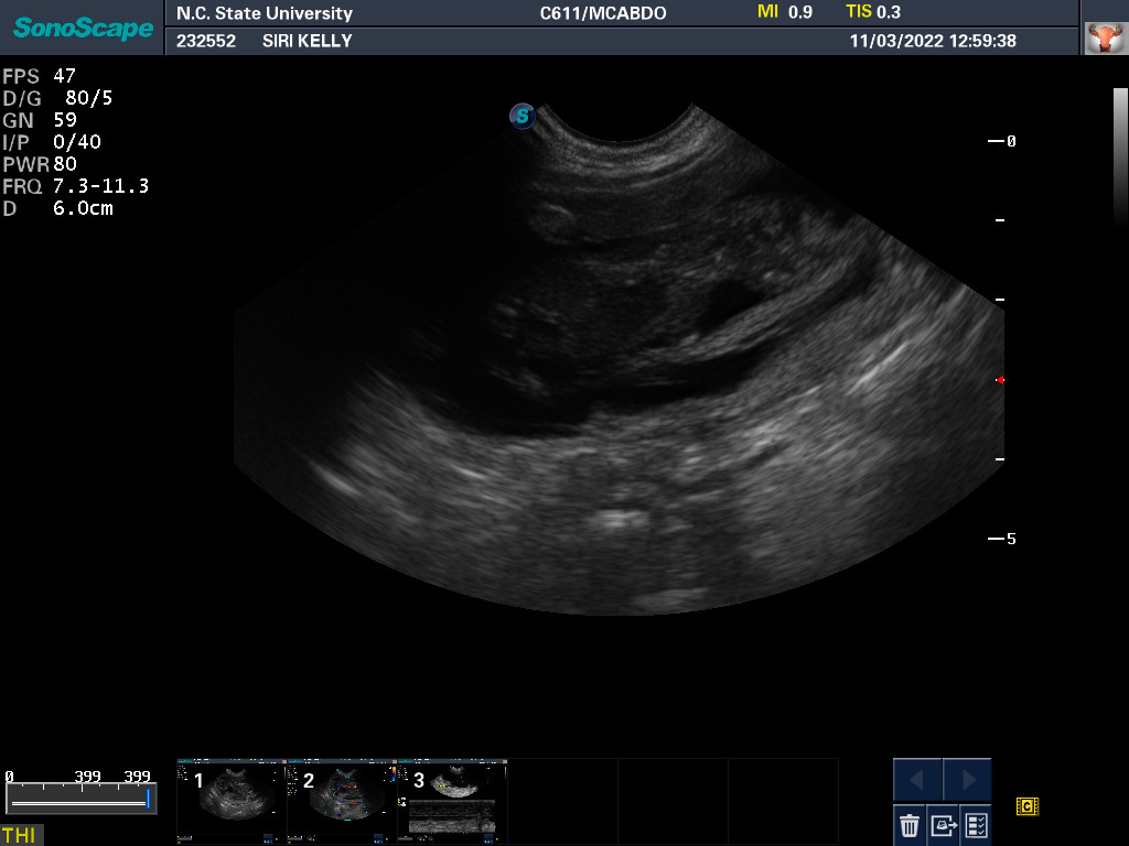
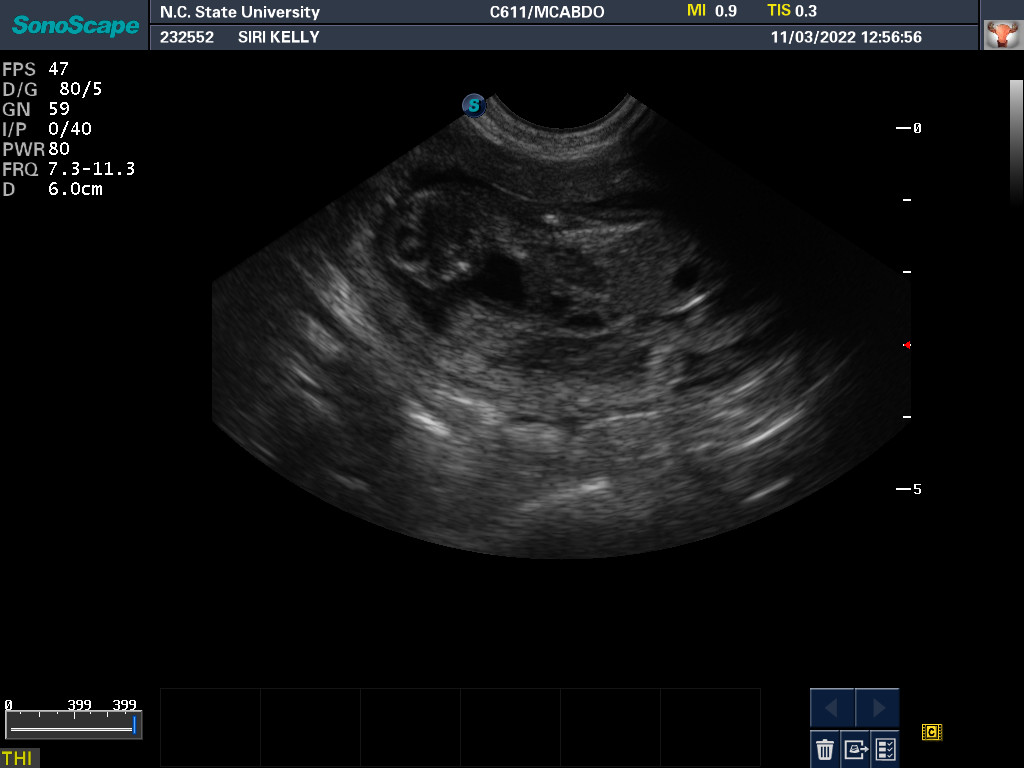
3 Nov 2022
Ultrasound today by the theriogenology (reproduction) veterinarians at NC State University showed that Siri is pregnant with possibly two puppies. It is difficult to accurately count puppies using ultrasound.

If all goes well, puppies are due around 28 November.

23 Nov
Since I was travelling, my petsitter was kind enough to take Siri to NC State for x-rays to count the number of puppies. The x-rays showed two puppies.

By measuring the size of the puppies' skulls and the width of Siri's pelvic opening, it was determined that the puppies should be able to fit through Siri's pelvis. Thus Siri might be able to have the puppies naturally (free-whelp), rather than needing a cesarean section (c-section). The rule of thumb is that if there is only one puppy, a c-section is almost always necessary; whereas if there are three or more puppies, one should try to free-whelp. If there are only two puppies, it is not clear what to do.

26 Nov
My petsitter took this picture of a pregnant Siri. Later Siri was transfered from my petsitter to a breeder-friend, Liz. Because I was away judging for the weekend, Liz kindly agreed to take responsibility for Siri. Liz has a lot of experience as a breeder, so I knew that Siri would be in good hands.

27 Nov
Liz reported that Siri only picked at her breakfast. Liz took Siri in to NC State for a progesterone check and ultrasound peek at the puppies. Progesterone was 0.36 ng/mL and the ultrasound showed that the puppies had good heartbeats and GI movement. All signs indicated that labor was immenent. At this point I expected Siri to have her puppies that evening. Later in the day Liz reported that Siri started nesting behavior and panting, all indications of stage I labor. I kept checking my phone for a text from Liz telling me that Siri had started pushing (stage 2 labor) ... but no such text came. I checked my phone several times during the night ... but there was no news.

28 Nov morning
Liz took Siri to NC State in the morning for evaluation. Ultrasound showed that the puppies were all well (good heartbeats) but Siri was not progressing to stage 2 labor. Before I got on an early-morning plane to return home to North Carolina, I was able to talk on the phone with both Liz and the resident repro vet. Based upon her experience Liz thought she detected signs that Siri might be about to start stage 2 labor. However we all agreed that if Siri was not in stage 2 by 11 am, Siri should have a c-section. I got on the plane wondering what I would find when I landed.

Week 1

28 Nov afternoon
When my plane landed, I checked my phone and found that Siri had been taken off to have a c-section. By the time I got my luggage and reached my car, I received a phone call from NC State telling me that Siri had delivered two boys by c-section, and that mom and puppies were all doing well. I drove to NC State and got my first look at the puppies. I loaded Siri - who was still pretty groggy from the anesthesia - and the puppies into my car and we made the long drive home.

When we got home, I carried Siri outside to potty. When I put Siri down she immediately ran inside to my bedroom and the whelping (really nursery) box that I had set up. As soon as I put the puppies into the whelping box, Siri began licking the puppies and tucking the puppies undereath her to keep her puppies warm. I was happy to see the puppies start to nurse. Later I weighed the puppies:

These are excellent weights for newborn Norwich.

29 Nov
I checked on Siri and her puppies several times during the night. But Siri had everything in hand. The puppies were tucked underneath Siri to keep warm, and I heard nursing sounds periodically during the night.

Morning picture. The blood spots are from Siri. Siri will have bloody vaginal discharges for several weeks as things heal inside from her c-section. As long as nothing smells bad, I am told not to worry. I will be changing the bedding in the whelping box daily. When I have puppies, my washing machine gets a daily workout!

Puppies nursing. It is not unusual for newborn puppies to loose weight in the first 12 to 24 hours after birth. Not these boys! Both boys had weight gains at the morning weighing and at the evening weighing. This evening both puppies are up by ten percent of their birth weight. I am very happy to see this, as it means that the puppies have definitely gotten colostrum (first milk) from Siri which is rich in antibodies. During the first 12 to 24 hours of life, a puppy's GI track allows those big antibody molecules to pass into the puppy's bloodstream; afterwards they will not. So whatever immunities Siri has had have now been transferred to her puppies. Over time these maternal antibodies will die off, but for now the puppies have some antibody protection.

Note that the puppy on the right has lost his brown collar, which came off sometime during the night. I am not a fan of the velcro collars; I prefer to just use yarn. So I put the puppies up on my bed and changed their collars. The puppy who had the brown collar now has a blue collar, and I will call him "Blue" for now. The puppy who had the black collar now has a white collar, and I will call him "White". Blue twice now has slipped an arm throw his yarn collar, necessitating me to change his collar to make it tighter (but not too tight) around his neck.

Around noon time, Siri finally left the puppies to go outside to potty. I was able to weigh Siri and take her temperature (which was normal). I will be taking Siri's temperature daily for a week to make sure that she has not caught any infection from her c-section surgery.

Mostly Siri has the puppies tucked underneath. I only getting a good look at the puppies when Siri goes outside to potty. The puppies are starting to loose that wrinkly look that newborns have.

30 Nov
Morning picture. Not the best picture as it was overcast and rainy today. Plus I was trying to get the picture before Siri jumped back into the whelping box and hid the puppies from view.

Later in the morning I was able to get this photo of the puppies nursing. Note the circular depression in the whelping box in which Siri and the puppies are lying. Underneath the bedding in the whelping box is a "whelping nest" - a rubber bowl that is heated. Newborn puppies up until the age of around two weeks do not generate any internal body heat. Thus newborn puppies cannot generate a fever to help fight off viruses and bacteria. I especially worry about the canine herpes virus, which breeders fear as it can quickly carry off an entire litter of puppies. Plus if a puppy gets chilled the puppy can not digest food. So it is important to keep the puppies warm. Mothers of puppies do this by tucking puppies underneath them and using their body heat to keep the puppies warm. But without supplemental heat, it would not be unusual to lose one or more puppies. In the past I have tried keeping the room with the puppies warm, but this unfortunately makes the mother uncomfortable. I have also tried heating pads and heating lamps. But I find that my mothers and puppies really like a whelping nest, although whelping nests are not cheap.

At noon I was able get a nice picture of the puppies while Siri was outside. I was especially happy to see Blue sleeping on his side.

Puppies nursing in the evening.

1 Dec
Morning picture. I am somewhat embarrassed about the amount of fur that Siri is carrying. Norwich Terriers are a "stripped" breed, meaning that the fur is gently pulled ("stripped") out rather than being cut (which softens and ruins the coat). I had planned to strip Siri but other things got in my way and then Siri came into season. After Siri was in season and certainly while she was pregnant, I did not want to stress Siri by stripping her. So Siri currently looks very furry.

Blue, who was heavier than his brother White at birth, has continued to maintain his lead over his brother in their weight race. This morning Blue joined the 300-gram club. White is not far behind.

Note the clear nails (really claws) that White has. In a week or so, the nails will darken.

Puppies are born blind and deaf. At birth puppies have a good sense of smell, plus a weak sense of warmth. Puppies use both to find and crawl towards their mother so that they can nurse and stay warm. If a puppy can not find its mother, the puppy will cry which will attract the mother.

I like to let my mothers have a couple of days of peace with their newborn puppies. So my other dogs have been with my petsitter. Today I brought everyone home. I think Siri was happy to see everyone ... until some got too close to the whelping box... at which point Siri began growling in warning. Siri has even charged out of the whelping box at anyone who got too close. This is all normal behavior for canine mothers who are protective of their puppies.

2 Dec
Morning picture. During the night I often heard sounds from Blue, not exactly a cry but he clearly was not happy. At bedtime, Blue's stomach had been bulging so I figured he perhaps had a sore stomach from eating too much and perhaps had swallowed air and had some gas. But as Blue was not crying, I did not get up to give him any baby gas relief medicine.

To my horror, when I weighed Blue in the morning I found that he had lost weight. His brother White had joined the 300-gram club, but Blue had slipped back below 300 grams. Also Blue did not seem as active as previously and did not seem to want to nurse. My mind started thinking about possible causes. If Blue had gas, did that stop him from nursing? Had Blue gotten chilled during the night? Had a virus invaded my whelping box? Was this the start of Puppy Lung Development Disease? (A newborn's lungs are not fully developed at birth, but continue to develop afterwards. Puppy Lung Development Disease is when this development stops, and the puppy has more and more difficulty breathing until the puppy dies. I have had puppies with Puppy Lung Development Disease and it is horrible to watch. I have contributed their bodies to a research study on Puppy Lung Development Disease.)

I kept checking on Blue during the morning, and would put him next to a nibble to encourage him to nurse. Finally around noon, I saw Blue nursing again. Blue also seemed more active. That made me less worried. I was happy at the evening weighing to find that Blue was back above 300 grams (but just barely). I will continue to worry about Blue until I see more weight gain by him.

White using Blue as a pillow. I took White off Blue as I did not want Blue to have any difficulty breathing.

3 Dec
Before going to bed last night, I turned up the heat in my house. I also gave Blue some baby gas relief medicine (simethicone) as he was still fussing. But the simethicone did not seem to have any effect. Blue continued to fuss off and on during the night. At 4 am as I was checking on the puppies, I realized with a sinking heart that what I was seeing with Blue was almost certainly puppy lung development disease. Blue was taking shallow breathes at almost twice the rate of his brother White. And Blue's fussiness was actually short cries because he was having trouble breathing.

Puppy lung development disease is thought to be related to "Alveolar Capillary Dysplasia" - a rare, fatal disease of human infants. No treatment exists for puppies either.

I got out my incubator and oxygen concentrator, in the hope that extra oxygen would make Blue more comfortable. But both Blue and Siri got upset each time I tried to put Blue in the incubator. Finally I gave up and decided to let Blue spend his remaining time with his brother and mother.

Morning picture. A moment after I took this picture, mommy Siri came and laid with Blue.

A puppy who has difficulty breathing can not nurse. So starvation often results. Fortunately I know how to tube feed a puppy, so I can make Blue comfortable from hunger pains. Tube feeding is where you pass a thin tube down the mouth of the puppy into the stomach and then inject liquid food through the tube. Tube feeding is scary the first several times that you do it. If you get the tube into the lungs rather than the stomach the puppy will drown when you inject the liquid food. But if the puppy can make a sound when the tube in inserted all the way, then you know the tube is in the stomach. The liquid food that is used is a puppy milk replacement called Esbilac. The problem with tube feeding is that a newborn puppy's stomach is not very large, so one has to tube feed frequently ... ideally every two hours. Unfortunately the nutrition seems to give Blue more strength to cry as it becomes harder and harder for him to breathe.

Late in the afternoon.

I am close to tears as I write this. Breeding is not all playing with cute puppies. There are also moments like this.

White continues to do well and gain weight.

4 Dec
Every time I got up last night, I expected to find that Blue had died. But as he was living, I kept tube feeding him.

Morning picture. Siri is eating, White in in the whelping nest where it is warm, and Blue is on the right. As I always do when I find a puppy out of the whelping nest, I moved Blue back into the whelping nest. But Blue was very limp and listless. At the morning weighing, Blue had lost more weight during the night. Also White lost a little weight ... although since his stomach has seemed like he has swallowed a beach ball, I was not too concerned.

When Siri is not in the whelping box, I often find Siri near the whelping box. Sometimes Siri is behind the whelping box. But if any of my other dogs get close to the whelping box, Siri starts growling in warning. If the warning is not heeded, Siri will charge with teeth bared and snarling and chase the offender away.

I kept tube feeding Blue as the morning went on. I had to be out of the house for a couple of hours in the middle of the day, and fully expected to find Blue dead when I got home. Instead he was still alive ... and seemed to have better skin tone. In fact, Blue fought me when I tube fed him. (Tube feeding is essentially force feeding.)

This evening I actually saw Blue nursing. It was weak nursing, but it was nursing. (Any time I check the whelping box I always shove any puppy not nursing up against Siri and a nipple.)

Blue's weight was up at the evening weigh-in, to just below 300 grams. And Blue's breathing seems better tonight, less rapid. I am trying not to get my hopes up. Perhaps instead of puppy lung, Blue has had some infection.

Just so that I have something to worry about, White only gained a gram today. I hope this is just a pause in his growth and not something else.

Week 2

5 Dec
When I checked on the puppies during the night, Blue was always nursing. So I did not tube feed Blue during the night.

Morning picture

The puppies are one week old today and weigh as follows:

Blue had a nice weight gain during the night. So that makes me hopeful. But then I see Blue do something like this (possibly to help him breathe easier?) and I am discouraged. White's weight this morning is still not above his personal best.

I am really confused about Blue. When I first suspected puppy lung development disease, I spoke with another Norwich breeder and she confirmed that what I described sounded like puppy lung development disease to her also. I am trying not to get too hopeful that Blue may survive.

Puppies nursing. I am continuing to put Blue next to a nipple every time I check the whelping box. White seems more active than Blue. At the evening weigh-in, Blue had lost some weight (but stayed above 300 grams), while White resumed his march to 400 grams.

6 Dec
Morning picture. White joined the 400 gram club this morning. Blue had a small but nice weight gain last night and again today. With each passing day that Blue lives, I am becoming a little more hopeful that he may survive. But I am on tenderhooks, fearing a sudden turn for the worse.

The whelping nest is warm enough that the puppies do not need to sleep together for warmth. But sometimes they do sleep together.

Nursing. (White is on the left.) Now that White is heavier than his brother, it is easy for White to push Blue off of a nipple.

7 Dec
Morning picture. White has his head raised.

Both puppies had nice weight gains overnight. Unfortunately Blue lost weight during the day, and now weighs slightly less than yesterday evening. White only gained a few grams today. I am back to being seriously worried about Blue.

Mommy Siri guarding the whelping box containing the puppies. The whelping box rests on a platform that holds the whelping nest. The pile of old books is there to make a step so that Siri can get into the whelping box.

The puppies' aunt Gwynie is the first to jump into the whelping box to investigate the puppies. Siri was sleeping besides the whelping box, but woke up and chased Gwynie out.

Siri cleaning White. If you look closely, you can see the red of Siri's tongue. Newborn puppies can not pee or poop on their own. The mother has to stimulate by licking the puppy to get the puppy to pee or poop. The mother than drinks the pee and eats the poop to keep the nest clean.

8 Dec
When I went to bed last night, Blue was fussing. I found it interesting that Siri would often come running if a puppy was crying; but Siri would just sit there if Blue was fussing. Before turning in I gave Blue simethicone (gas relief) in the hope that it would help. It did not. I put Blue on my chest for a while and he quieted down. (Siri did get up on the bed to see what I was doing with her puppy!) When it was time to put out the lights, I put Blue back in the whelping box with his brother.

Blue kept fussing during the night, and I kept checking on him. I noticed that Blue was taking big breathes and seemed to be getting weaker. It again seemed to me like Puppy Lung Development Disease. I decided to restart tube feeding Blue; he did not fight being tube-fed. After I tube-fed Blue at 3 am, I fell asleep until 7 am.

Morning picture. I woke up to find that Blue had died sometime during the early hours. Siri was not upset, and was sitting by Blue's body. I put Blue's body in a bag in the refrigerator (not the freezer) to keep it cool, and later in the morning took the body to NC State for an autopsy. I expect it will take a couple of weeks before I get the autopsy report.

When I first suspected puppy lung disease, I had grieved. Then I allowed myself to hope when Blue seemed to get better. Now I am just numb. I kept busy all day, but I dread going to bed as I know my mind will turn over everything that happened and I will wonder if I did enough. If anyone reading this so wishes, send a donation to the AKC Canine Health Foundation Norwich Terrier Donor Advised Fund. Hopefully some day researchers will find a genetic marker for this horrible disease, and we breeders can breed away from it.

I cut White's nails (really claws) today. I used a human nail clipper and just blunted the tips of White's claws. If you do not cut a dog's nails, the nail (claw) will eventually break causing pain. I blunted the tips so that White will not scratch Siri when nursing.

White demonstrating the "lay on your back" method of nursing. White continues to have good weight gains.

9 Dec
Morning picture. White is using Mommy Siri's rear legs as a pillow. White joined the 500-gram club this morning.

Puppies at this stage are mostly all stomach, but White may be an over-achiever! When I look in the whelping box, what I aways hope to see is the puppy "twitching" or "jerking". This is normal. It is thought to be caused by nerves growing. The puppy will be still, but then all of sudden make a jerk. You have to stare at the puppy to catch it.

Yes, Siri's stomach was shaved as part of her c-section.

10 Dec
Morning picture. White just eats and sleeps. I rarely hear White make a sound. A quiet puppy usually means that nothing is wrong ... but that does not stop me from worrying! If White does make a sound, mommy Siri comes running and checks on White.

Mommy Siri has White on some kind of feeding schedule (known only to Siri). For the past couple of days Siri has come with me and the other dogs for our daily walk in the woods. Usually Siri either turns back early or runs ahead ... and greets us when the rest of us get home. Being hunting season, the hunters were out in force today with their hunting dogs. This always causes lots of barking by my dogs, as they protect their area and warn the hunting dogs to stay away. Instead of coming with us on our daily walk today, Siri stuck close to home to make sure no one harmed her puppy.

When White is nursing, Siri will twist around so that she can lick White's bottom. That is Siri's nose right up underneath White's rear end.

White

11 Dec
Morning picture. With White now weighing over 500 grams, it is hard for my little postal scale to get an accurate weight on him ... especially if he moves around! So now I have to weigh White on my "big dog" scale. This scale has the advantage of doing a five second countdown, and averaging the weights taken during those five seconds. This is very useful for a puppy or dog that is moving around. The disadvantage of my big dog scale is that it only shows weights to the nearest 5 grams.

Siri guarding the approach to her puppy. I later picked up my postal scale which you can see in the picture.

White nursing. I feel embarrassed about my "shaggy" Norwich. But I still do not want to stress Siri by stripping her until White is a bit older.

I finally saw White sleeping on his side and later on his back today. I like to see this as too much sleeping on the stomach can cause the chest to flatten. Puppy bones at this stage are very "plastic" and can mold themselves into abnormal shapes if too much pressure is put on them. Note the white patch on the chest. This will gradually shrink as White grows.

White lifting his head. White's eyes are not yet open, but that is something that could happen any day now.

Week 3

12 Dec
Morning picture.

White is two weeks old today and weighed 605 grams at the morning weigh in. (And more in the evening.) I just looked back over my records and I have had boys weigh similar at this age. I guess I should not worry that White seems on the plump side!

I caught White just starting to open his eyes. (You can seem mommy Siri in the background checking on what I am doing with her puppy.) It will be a day or so until the eyes fully open ... and then a bit more time until the eyes start to focus on things. Something that I will be watching for is if White stops opening his eyes. I have had this happen before; if so, off to the vet we will go.

Even if White does not have sight, as soon as he smells Mommy get into the welping box, he often wakes up, raises his head and starts crawling over to Mommy and the milk bar. A puppy crawling is like a seal crawling.

White nursing

I wormed White today with 0.1 ml of pyrantel. White will get wormed with pytrantel every two weeks until he is ten weeks old. Siri was wormed with a three-day course of fenbendazole two weeks before she had her puppies, two days after she had her puppies, and Siri now begins another three-day round on fenbendazole. This may sound like a lot, but worms - which normally are dormant in an adult - "wake up" because of the hormones of pregnancy and get passed to a puppy. Worms if left unchecked can multiply and kill puppies. So deworming is highly recommended!

13 Dec
Morning picture. Puppies at this age are not very exciting. All they seem to do is sleep!

White sleeping

When mommy gets in the whelping box, then White wakes up and crawls over to nurse. But now instead of instantly falling back to sleep when mommy says "enough" and leaves, White looks around for maybe a moment before falling asleep. These periods of wakefulness will slowly increase.

I put Revolution (selamectin) - a topical medication that kills fleas and ticks - on Siri today. I had to time it so that Siri would not be near White for about an hour while the medication was being absorbed. (I took Siri and my other dogs for a long walk while the Revolution dried.) Revolution is also good for killing heartworms. But the primary reason that I put Revolution on Siri is because of cheyletiella mites. Normally Siri's immune system keeps these mites under control. But because the immune system is depressed during pregnancy, these mites can multiply and get out of control. If the mites get on the puppy and multiply, it can look like the puppy has "walking dandruff" and make the puppy very uncomfortable, and even affect the puppies health. These mites will also attack people. Many Norwich breeders - myself included - have become allergic to these mites. So when we see a Norwich scratching excessively, we reach for Revolution to put on the dog. Sometimes multiple doses are necessary to bring an infestation under control.

I put a plush toy in the whelping box with White. I did this mostly to give his eyes something to focus on during those rare moments when he wakes up and opens his eyes. White has never seemed very interested in sleeping next to something. I suspect the warmth of the whelping nest is all that he really wants.

This diary will have a short break over the next couple of days. Tomorrow - with the exception of grandmother Mandy - I will take all my dogs including White to my petsitter. Then Mandy and I will set out for Orlando and the AKC Agility Invitational which is being held this weekend. I will ask my petsitter to take pictures of White. I will post pictures and an update when Mandy and I return home.

14 Dec
Morning picture. Afterwards I took Siri and puppy (and several of my other dogs) to my petsitter.

My petsitter sent me these pictures:

15 Dec
My petsitter reports that White joined the 700 gram club today.

16 Dec
Photos from my petsitter:

17 Dec
Photos from my petsitter:

18 Dec
My petsitter reports that White joined the 800 gram club today.

  • head shot
  • another head shot

  • Week 4

    19 Dec
    White is three weeks old today and my petsitter reports that White weighs 825 grams.

    In the evening, I picked up White and my other dogs from my petsitter and we drove home.

    At three weeks of age, my pessimism turns to cautious optimism that White will survive. Things can still go wrong, but it is much less likely.

    20 Dec
    Morning picture. The first thing I noticed this morning about White is that his ear canals have opened and he can now hear. When grandmother Mandy was doing her morning "call to breakfast" (barking at me to get up and hurry up to fix breakfast), White raised his head and was looking around for the source of the noise.

    The other thing I noticed today is how much more active White is. Before I left for the weekend, White would only be awake for a few seconds before falling back to sleep. Now he is awake for at least a minute, sometimes more. This time that White is awake will continue to get longer and longer.

    21 Dec
    Morning picture. Evidently while taking the picture I woke White up.

    Sleeping on his back.

    White had crawled out of the heated whelping nest and was sleeping in a corner. This confirms that White is now generating his own body heat. However I will continue to keep the whelping nest plugged in and heated.

    It is past time for me to name White. I do not name puppies when they are born in case something goes wrong. But now that I expect that White will live it is time to give him a proper registered name and an informal call name. My kennel name is "Shaksper", so all my dogs' names have some connection with William Shakespeare. White's registered name will be "Shaksper General Chang", with call name "Chang". So what is the Shakespeare connection you ask? I always try to choose a name from something Shakespearian that occured in my life just before puppies are born. It could be from a Shakespeare play or movie that I had recently seen or book that I had read ... no thread is too tenuous. In this case, the movie "Star Trek VI: The Undiscovered Country" was on television as I was flipping channels over Thanksgiving just before the puppies were born. The villian in the movie - played by Christopher Plummer - is the Klingon "General Chang" who quotes Shakespeare throughout the movie. And since White originally had a black collar, the name seems to fit. So White is now Chang, which is how I will refer to him going forward.

    22 Dec
    Morning picture. Chang joined the 900-gram club today.

    Chang sleeping on his back. And later sleeping on his back next to his toys. Note the stain to the right of the toys. Mommy Siri does a good job of keeping her puppy clean. But sometime Siri is not around when Chang has to pee. I change and wash the bedding in the whelping box every day.

    23 Dec
    Morning picture. I have come down with a bad cold. So other than feeding the dogs, I spent the day in bed. Fortunately Siri feeds and takes care of Chang.

    24 Dec
    Morning picture. Again I spent the day in bed, both because of a bad cold and because of the deep freeze hitting this part of the country. The dogs were happy to keep me warm in bed. Chang's older sister, Izzy, who is one-year old and quite the hunter brought me a dead vole that she had killed. Evidently Izzy thought I might need nourishment. Izzy left the dead body on my bed; fortunately I spotted the body before I rolled over on it.

    Chang again sleeping in the corner of the whelping box. I suspect that Chang is getting bored with the whelping box. Normally by now I would have set up a playpen in my living room for Chang for during the day. Instead today I let Chang come up and crawl around on my bed.

    25 Dec
    Chang up on my bed. The whelping box is in the background. Mommy Siri is behind Chang. Chang is trying to get milk from Aunt Gwynie, but does not seem to understand why Gwynie does not have milk. Somewhat surprisingly Gwynie is just lying there, letting Chang try to nurse.

    Week 5

    26 Dec
    Morning picture - peeking over the entrance to the whelping box.

    Chang sleeping with a toy

    While on my bed, Chang sees if Aunt Gwynie has any milk. Since Gwynie does not have any milk, Chang bites at Gwynie's ears. Chang does not have any teeth yet, but you can feel them underneath the gums getting ready to erupt.

    27 Dec
    Morning picture - in the whelping box but out of the whelping nest.

    Chang on my bed with Mommy Siri looking on. Chang is crawling over Aunt Gwynie. Chang tried to get some milk from Aunt Gwynie. Since Gwynie does not have any milk, Chang crawled over and started nursing from Siri. Note grandmother Mandy at the foot of my bed, whose head is just over Siri's head in the picture.

    I finally had enough energy to build Chang's playpen in my living room. Siri got in the crate with Chang to assure him that it was a safe place. Later Chang crawled out of the crate to explore. But what Chang really wanted was to nurse. In the evening, I put Chang back in the whelping box for the night.

    28 Dec
    Morning picture - Chang in his crate in the playpen.

    29 Dec
    Morning picture - Chang being cleaned my Mommy while nursing. Another picture of Mommy cleaning Chang. Chang continuing to nurse. The two dots on either side of Chang's penis are male nipples. Chang after finishing nursing. Chang joined the 1000-gram club today.

    Chang in his playpen. Today was the first day that I saw Chang "walk". Prior to this Chang used his front feet to crawl around, often pushing himself backwards as much as forwards. But today I finally saw Chang up on all fours, taking about two steps before his rear feet would slide out from underneath him and his butt would again be on the ground.

    Somehow Chang got out of the playpen. I suspect that Chang got up on the wooden log and then tumbled out. The wooden log is there to keep Chang in the playpen while allowing Mommy Siri to go in and out.

    30 Dec
    Morning picture - nursing.

    Chang looking through the bars of the playpen. It seems that I did not get all the cobwebs off the x-pen as I should have.

    Chang sitting in his playpen. Earlier Chang was running around the playpen - really staggering around like a drunken sailor - but I could not get a good photo.

    Aunt Gwynie cleaning Chang.

    Chang plotting his escape from the playpen.

    31 Dec
    Morning picture - Chang and Mommy Siri.

    Chang continues to plot his escape from the playpen.

    I was finally able to get a half-way decent photo of Chang standing up and showing air underneath his belly..

    1 Jan 2023
    Morning picture - Chang in the whelping box.

    Chang finally made good on his escape from the playpen. Later after I put Chang back inside the playpen, he crawled over the wooden barrier again and got out. Chang even crawled back over the wooden barrier when he wanted to get back inside the playpen. I will leave the wooden barrier up, mostly to slow Chang down and give him something to crawl over.

    For some reason, puppies always like to circumnavigate the outside of the playpen, going between the x-pen and the wall.

    Big sister Izzy and Chang.

    Chang attacking the bear. Chang was grabbing and shaking the bear.

    Mommy's milk is the best.

    Aunt Gwynie and Chang. Chang was on the pillow underneath my desk with Aunt Gwynie. But before I could get my camera, Chang moved off to the floor where it is warm because of the radiant-floor heating.

    Week 6

    2 Jan
    Chang is five weeks old today and weighs 1070 grams.

    Morning picture - Mommy Siri and Chang.

    I decided that today was the day I would start feeding Chang. So I ground up about 15 ml of puppy kibble and mixed it with an equal mixture of Royal Canin Puppy Starter (a canned food). Chang thought this was great and ate almost the entire amount. Mommy Siri got to eat the leftovers. I will be feeding Chang four times a day - breakfast, lunch, dinner, and before bedtime. I expect that Chang will also be nursing ... as long as Siri lets him.

    Now that I have started to feed Chang, I also need to start potty training him. Thus Chang had his first trip outside. Fortunately the weather was mild. I now will be taking Chang outside after he eats, whenever he wakes up from a nap, and several times during the night.

    Chang sleeping on the dog bed underneath my desk.

    Chang outside again.

    Chang napping in one of my big dog crates. I leave the crates open and my adult dogs often go inside to take a nap.

    3 Jan
    Morning picture - eating breakfast.

    Chang taking a nap on one of the big dog beds in my living room. Later Mommy Siri joined Chang.

    Chang playing with Aunt Gwynie.

    Chang continues to have a good appetite.

    As a single puppy, Chang does not have anyone his own age with which to play (wrestle). Chang does have his older sister, aunts, and mommy, but it is not the same thing as a sibling. On the other hand as a singleton, Chang gets a bit more freedom and privileges than it I had to watch more than one puppy. For example, once I have taken Chang outside and seen him potty, I allow him up on my bed in the evening. After crawling around for a while, Chang usually goes to sleep.

    4 Jan
    Morning picture - breakfast. Chang joined the 1100-gram club today. Mommy cleaned the bowl while Chang got some milk. Afterwards both went outside to potty.

    Today Chang climbed up the baby dogwalk on my porch. Chang did it the hard way - he first climbed over the mat that previous puppies had pulled off, then climbed up the slippery white board to finally reach the top. But instead of continuing down the other end of the dogwalk, Change turned around and retraced his steps that lead him to the top.

    Chang biting at mommy's tail.

    For dinner, my adult dogs got some hard-boiled egg on top of their kibble. I gave Chang the yolk from one egg. Chang thought the yolk was a great treat.

    5 Jan
    Morning picture - Chang eating breakfast. Afterwards Chang went out and explored my gravel driveway. This is something that I only can do because Chang is a singleton. If I had more than one puppy, I would be afraid that the puppies would take off in different directions and I might lose a puppy. With only one puppy, as long as I keep an eye on Chang and feel comfortable that I can rescue him, Chang is allowed outside my gate. After the rigors of exploing, Chang took a long nap.

    After (almost) conquering the baby dogwalk on my porch, today Chang showed that he can do my baby teeter. Chang also went into my baby tunnel, but after exploring a short way turned around and came back out.

    Visitors! Chang had his first visitors today. Griffin and John brought Estelle to see her new little brother. Here is Griffin holding Chang. And Estelle and Chang together.

    6 Jan
    Chang joined the 1200-gram club today.

    Morning picture - Chang found my bathroom and did some exploring. Aunt Gwynie supervised Chang.

    Chang (in the distance) exploring my gravel driveway. Chang turned around after I took this picture, probably figuring that he had gone far enough away from my house.

    Chang demonstrated again that he really does know how to do my baby teeter. Today Chang added going all the way through my baby tunnel to his list of accomplishments.

    Chang playing in the motherlode of all toys.

    7 Jan
    As many of you who regularly read my puppy diaries know, I try to update it every day ... unless something unusual is happening. In the current case, the unusual event is a sinus infection (to which I am unfortunately prone). I am able to take care of myself, my dogs, and Chang ... but there is not much energy left over for much else. In an attempt to keep Chang's puppy diary going, I will for now just post the pictures I have taken.

    8 Jan

    Week 7

    9 Jan

    10 Jan

    11 Jan

    12 Jan

    13 Jan

    14 Jan

    15 Jan

    Week 8

    16 Jan

    17 Jan

    18 Jan

    19 Jan

    20 Jan

    21 Jan

    22 Jan

    Week 9

    23 Jan

    24 Jan

    25 Jan

    26 Jan

    27 Jan

    28 Jan

    29 Jan

    Week 10

    30 Jan

    31 Jan

    1 Feb

    2 Feb

    3 Feb

    4 Feb

    5 Feb

    Week 11

    6 Feb

    7 Feb

    8 Feb

    9 Feb

    10 Feb

    11 Feb

    12 Feb

    Week 12

    13 Feb

    14 Feb

    15 Feb

    16 Feb

    17 Feb

    18 Feb

    19 Feb

    Week 13

    20 Feb

    21 Feb

    22 Feb

    23 Feb
    I am now on a third-round of antibiotics, but this one seems to be working. I no longer having the terrible fatigue and fuzzy head that I had previously.

    Some catch up - Chang's new owners tell me that they plan to call him "Gucci". So I have been calling him "Gucci" also.

    I received the autopsy report on Gucci's brother, Blue. As I suspected, the cause of death was puppy lung development disease.

    After several days of trying, I finally got a photo of Gucci and mommy Siri together.

    24 Feb
    Morning picture - Killing the pink bunny before breakfast.

    Out for a walk. Gucci with a chicken egg shell that he found.

    At the vet's office, Gucci met a black cat! Gucci getting microchiped. And being examined by the vet in order to get a "certificate of health" so that Gucci can travel. Finally saying goodbye to the office staff ... who have treats!

    25 Feb
    Morning picture - Gucci does not realize what the day has in store for him!

    Gucci's first time wearing a harness and being on a leash. Gucci quickly became used to them.

    At the airport where Gucci said goodbye to his family - clockwise from Gucci are mommy Siri, big sister Izzy, and grandmother Mandy.

    Gucci with new owner José. José flew in and we met him at the airport. Now Gucci and José are flying to Gucci's new home in Iowa. As always when a puppy leaves me, I will be sad for a few days. But I am confident that José and Jennifer will give Gucci a good home.

    This concludes the puppy diary of Siri's 2022-2023 litter. I am sorry that I was not able to provide commentary while I was sick. But at least I was able to keep the diary alive!